Contenido de este artículo
TogglePrecio implante dental completo
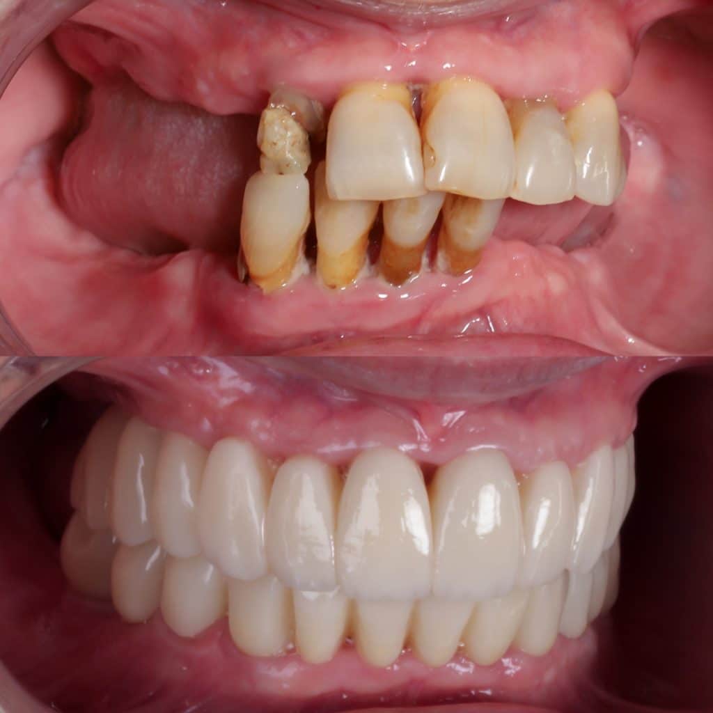
El precio implante dental completo en España suele oscilar entre 1.500 € y 3.500 € por pieza todo incluido, según el Consejo General de Dentistas de España. Este coste abarca la cirugía, el tornillo de titanio o zirconio, el pilar, la corona y las revisiones postoperatorias. En rehabilitaciones completas, la prótesis fija sobre 4 implantes (All-on-4) cuesta entre 10.000 € y 12.000 € por arcada, mientras que el All-on-6 ronda los 12.000 €. El precio final depende de la calidad ósea, los materiales, la tecnología utilizada (como escáner 3D) y la experiencia del dentista. Algunos seguros dentales como Sanitas o Adeslas ofrecen descuentos parciales, aunque la cobertura total es poco frecuente.
El precio de implante dental completo puede variar dependiendo de múltiples factores, como el tipo de implante, la clínica dental y la ciudad donde se realice el tratamiento. En este post, te explicaremos las opciones disponibles y las variables que afectan el precio.
¿Cuánto cuesta un implante dental completo?
El precio de un implante dental todo incluido en España puede oscilar entre 1.500 € y 3.500 € por pieza, todo incluido. Según el Consejo General de Dentistas de España, el precio de los implantes puede variar dependiendo de varios factores:
- El tipo de implante dental (tradicional, cigomático o subperióstico).
- El material de la corona o prótesis (zirconio o porcelana).
- La experiencia del dentista y la ubicación de la clínica.
- Por ejemplo, el precio de un implante dental todo incluido en Barcelona puede variar respecto al precio en Valencia o Madrid.
- Cobertura de seguros dentales como Sanitas implantes dentales, que puede reducir el coste, aunque no es necesariamente más bajo que en otras clínicas. Damos más información sobre este tema en nuestro post.
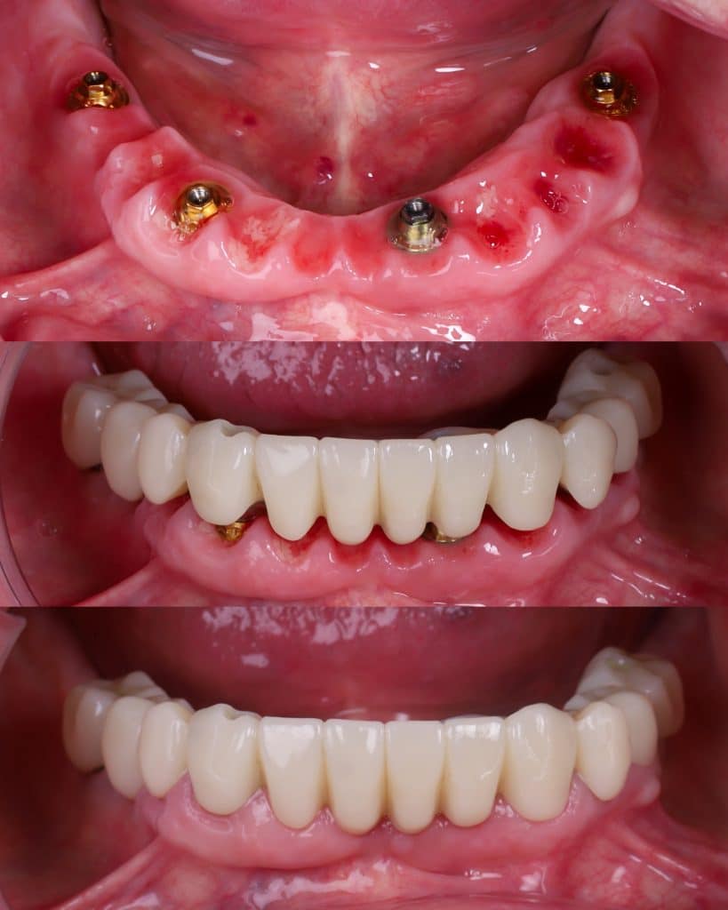
Precio de implantes todo incluido para toda la boca
Cuando se necesita rehabilitar toda la boca, se pueden utilizar diferentes soluciones según el caso:
- Prótesis Fija sobre 4 Implantes (All-on-4)
-
- Ideal para pacientes con pérdida total de dientes.
- Utiliza 4 implantes estratégicamente colocados para soportar una prótesis fija.
- Precio aproximado: Entre 10.000 € y 12.000 € por arcada, dependiendo de los materiales utilizados y la complejidad del caso.

-
- Rehabilitación más estable que utiliza 6 implantes para mayor soporte.
- Indicada para pacientes con buena calidad ósea.
- Precio aproximado: 12.000 € por arcada.

¿Qué incluye el precio de un implante dental completo?
Diploma de Estudios Avanzados en Técnicas Clínicas en Odontoestomatologia. (2002 - 2003). Universitat de Barcelona.
Diploma de Postgrado en Estética Dental Avanzada. Societat Catalana de Odontoestomatologia. Barcelona (2004 -2005).
- Encía inflamada en el embarazo: causas, síntomas y cómo cuidarlas - 14 noviembre 2025
- Encías negras: causas, tratamiento y cómo aclararlas - 7 noviembre 2025
- Hueco entre implante y encía: causas y soluciones - 4 noviembre 2025