Dentadura fija sobre 4 implantes precio
En este artículo te explicaremos todo lo que debes saber sobre la dentadura fija sobre 4 implantes. Desde el precio, las fases del tratamiento, las ventajas de esta conocida técnica de rehabilitación de implantes para toda la boca hasta las preguntas más frecuentes de nuestros pacientes.
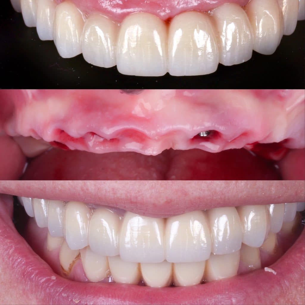
¿Qué es una dentadura fija sobre 4 implantes dentales?
Una dentadura fija sobre 4 implantes representa una innovadora solución en odontología, diseñada para restaurar toda la arcada dental cuando se han perdido todos o caso todos los dientes. Este sistema integra una prótesis dental permanente anclada a pilares especiales, los cuales se conectan a implantes de titanio biocompatible insertados quirúrgicamente en el hueso maxilar o mandibular.
La estructura protésica, que puede fabricarse con materiales como cerámica avanzada o polímeros de alta resistencia, emula la apariencia y función de los dientes naturales y el tejido gingival circundante. Existen diversas configuraciones, como las que emplean cuatro o seis puntos de anclaje estratégicamente distribuidos para sostener una arcada completa, en este artículo hablaremos sobre la de 4 (implantes dentales All on Four). Entre sus beneficios destacan la notable estabilidad, el mantenimiento de la densidad ósea, una estética superior y la recuperación de la capacidad masticatoria.
No obstante, esta opción implica una inversión económica significativa, requiere un procedimiento quirúrgico y demanda un compromiso riguroso con la higiene oral, incluyendo el uso de dispositivos de limpieza interdental especializados.
Con un cuidado apropiado y revisiones periódicas, esta alternativa ofrece una solución duradera y confortable, superando en muchos aspectos a las prótesis removibles tradicionales y proporcionando una calidad de vida mejorada a quienes han experimentado pérdidas dentales extensas.

¿Cuál es el precio de dentadura fija sobre 4 implantes?

Fases del tratamiento para dentadura fija sobre implantes
1. Planificación con tecnología digital avanzada
Comenzamos estudiando cuidadosamente su boca y creando un plan detallado.
2. Colocación de los implantes dentales
En esta etapa, colocamos los implantes en su boca usando anestesia local o sedación consciente. A continuación ponemos las prótesis o dientes provisionales con estética y funcionalidad muy similar a los dientes definitivos.
3- Colocación de los dientes definitivos
Tras la fase de osteointegración durante la cual los implantes se integran con el hueso (generalmente 3-4meses), ponemos los dientes definitivos. Dando por finalizado el tratamiento.
4. Cuidados y mantenimiento
Para que su nueva sonrisa dure mucho tiempo, le enseñamos cómo cuidar sus nuevos dientes e implantes y programamos revisiones regulares para comprobar que todo esté bien.

Ventajas y desventajas de la dentadura fija sobre 4 implantes dentales
Ventajas:
- Dientes firmes y cómodos: Sus nuevos dientes estarán bien sujetos, así que podrá comer y hablar sin preocuparse de que se muevan.
- Se ven naturales: La dentadura se parecerá mucho a sus dientes reales, lo que le ayudará a sonreír con confianza.
- Cuida sus huesos: Los implantes ayudan a mantener fuerte el hueso de su mandíbula.
- Tratamiento rápido: En muchos casos, puede tener dientes nuevos el mismo día de la cirugía.
- Menos implantes necesarios: Solo se usan 4 implantes, lo que hace que el tratamiento sea más sencillo y a menudo más económico que otras opciones.
- Mejora su vida diaria: Podrá comer, hablar y sonreír con más facilidad y seguridad.
Desventajas:
- Inversión inicial: Aunque a la larga puede ahorrar dinero, al principio cuesta más que otras opciones.
- Requiere cirugía: Necesitará una operación para colocar los implantes, lo que conlleva ciertos riesgos y tiempo de recuperación.
- Necesita suficiente hueso: Para que funcione, debe tener suficiente hueso en la mandíbula. Si no, podría necesitar tratamientos adicionales, como regeneración de hueso o el uso de implantes cigomáticos.
- Cuidados especiales: Tendrá que limpiar sus nuevos dientes y visitar al dentista regularmente.
- Posible infección: Como con cualquier tratamiento dental, hay un pequeño riesgo de infección o de que el implante no funcione bien, aunque esto no es común.
Prótesis fija sobre 4 implantes: precio y opiniones
La prótesis fija sobre 4 implantes es una de las opciones más recomendadas para quienes quieren una sonrisa firme, natural y sin preocuparse de que la prótesis se mueva. Esta técnica, conocida como All-on-4, permite colocar una prótesis completa que se sujeta de forma permanente sobre cuatro implantes de titanio biocompatible, ofreciendo dientes fijos desde el primer día.
El precio de una prótesis fija sobre 4 implantes en España suele estar entre 10.000 € y 15.000 € por arcada, dependiendo del material elegido (cerámica, zirconio o resina), la tecnología utilizada y la experiencia del especialista. Aunque la inversión inicial es más alta que la de una dentadura removible, el resultado es mucho más duradero, cómodo y estético.
Los pacientes que eligen esta opción suelen destacar la comodidad al comer y hablar, la apariencia natural de los dientes y la confianza que recuperan al volver a sonreír sin miedo. Además, al no ser removible, no se necesitan adhesivos ni provoca irritaciones en la encía. En palabras de muchos, “es lo más parecido a tener tus dientes naturales otra vez”.
Sobredentadura sobre 4 implantes: precio y opiniones
La sobredentadura sobre 4 implantes es una alternativa más económica que ofrece también una buena sujeción y comodidad. A diferencia de la prótesis fija, esta opción es removible por el paciente, pero se engancha sobre cuatro implantes mediante un sistema de anclajes o barras metálicas, lo que le da una excelente estabilidad.
El precio de una sobredentadura sobre 4 implantes suele variar entre 6.000 € y 9.000 € por arcada según el tipo de anclaje, los materiales y la clínica. Es una excelente elección para quienes buscan una solución completa a un coste más accesible, sin renunciar a la funcionalidad ni a una sonrisa estética.
Las opiniones de los pacientes son muy positivas: la mayoría coinciden en que la sobredentadura mejora muchísimo la calidad de vida frente a las dentaduras tradicionales, sobre todo porque deja de moverse al comer o hablar. Algunos, sin embargo, prefieren la prótesis fija por la comodidad de no tener que retirarla cada día. En cualquier caso, ambas opciones ofrecen un cambio radical en comodidad, estética y confianza.
Opiniones en MAG Dental Madrid:
- María Gómez: “Desde el primer momento en que entré en la Clínica MAG Dental, supe que estaba en buenas manos. El equipo fue muy profesional y atento, explicándome cada paso del procedimiento de colocación de la prótesis fija sobre 4 implantes. La cirugía fue más rápida y menos dolorosa de lo que esperaba, y los resultados han superado mis expectativas. ¡Ahora puedo sonreír con confianza!”
- Carlos Fernández: “La experiencia en MAG Dental fue excelente. El Dr. Prieto me brindó una atención personalizada y me hizo sentir cómodo y seguro durante todo el proceso. Después de años de evitar sonreír, ahora tengo una prótesis que se ve y se siente como dientes naturales. Estoy muy agradecido por el cuidado y la dedicación del equipo.”

Preguntas frecuentes sobre dentaduras fijas sobre 4 implantes
¿Es dolorosa la colocación de dentadura fija con implantes?
El procedimiento se realiza bajo anestesia local, minimizando las molestias durante la intervención. Es normal experimentar cierta incomodidad postoperatoria, que generalmente se maneja eficazmente con analgésicos prescritos.
¿Cuánto tiempo durará mi dentadura fija sobre 4 implantes?
La dentaduras fijas sobre implantes puede durar toda la vida. Para ello es importante acudir a una clínica que de garantías, tener una buena higiene oral y tener acudir a las revisiones periódicas con su dentista.
¿Puedo comer cualquier tipo de alimento con una dentadura fija?
Una vez completado el período de adaptación, los pacientes generalmente pueden disfrutar de una dieta normal sin restricciones significativas. Sin embargo, se recomienda evitar alimentos excesivamente duros o pegajosos para prolongar la vida útil de la prótesis.
¿Cuántos implantes se necesita para una dentadura fija?
Generalmente se necesitan al menos 4 implantes como hemos tratado en este artículo, pero se pueden usar hasta 8 implantes dentales por arcada para una dentadura fija. El número dependerá de la calidad y cantidad de hueso maxilar del paciente.
¿Cuánto cuesta poner 4 implantes dentales?
El precio de colocar 4 implantes dentales en España varía según la clínica, los materiales y la complejidad del caso. De media, el tratamiento cuesta entre 3.500 € y 6.000 €, incluyendo la cirugía y los implantes de titanio. Si se trata de una dentadura fija sobre 4 implantes (técnica All-on-4), el coste total con la prótesis definitiva puede oscilar entre 10.000 € y 14.000 € por arcada, dependiendo del tipo de prótesis y la tecnología empleada.
¿Cuántos implantes son necesarios para una dentadura fija?
El número de implantes necesarios para una dentadura fija depende del tipo de rehabilitación y de la calidad ósea del paciente. Generalmente, se colocan 4 implantes por arcada en la técnica All-on-4, aunque en algunos casos se pueden usar 6, 8 o hasta 10 implantes para una mayor estabilidad. El especialista determinará la cantidad exacta tras un estudio digital 3D del hueso maxilar o mandibular.
¿Cuánto cuesta una dentadura superior completa con implantes?
El precio de una dentadura superior completa con implantes suele estar entre 10.000 € y 14.000 € por arcada en clínicas especializadas en España. Este coste incluye la cirugía, los 4 a 6 implantes de titanio, las prótesis provisionales y los dientes definitivos. Aunque representa una inversión inicial importante, ofrece una solución fija, estética y duradera, con resultados naturales y una tasa de éxito superior al 97 %.
¿Cuánto cuesta una prótesis fija sobre implantes?
El precio de una prótesis fija sobre implantes depende del número de implantes, el material de la prótesis y la complejidad del tratamiento. En promedio, una prótesis fija completa sostenida por 4 a 6 implantes tiene un coste que oscila entre 10.000 € y 15.000 € por arcada. Este tipo de prótesis proporciona una mordida firme, una estética natural y una gran durabilidad frente a las dentaduras removibles tradicionales.
- Encía inflamada en el embarazo: causas, síntomas y cómo cuidarlas - 14 noviembre 2025
- Encías negras: causas, tratamiento y cómo aclararlas - 7 noviembre 2025
- Hueco entre implante y encía: causas y soluciones - 4 noviembre 2025