Mejor clínica de implantes dentales en Madrid: MAG Dental Madrid
Si estás buscando la mejor clínica de implantes dentales en Madrid, en MAG Dental Madrid, ubicada en Hortaleza, Madrid, encontrarás un equipo especializado en implantología avanzada, regeneración ósea y estética dental de alta calidad. -Liderada por el cirujano, el Dr. Alejandro Prieto, nuestro objetivo es ofrecerte resultados naturales, duraderos y personalizados.

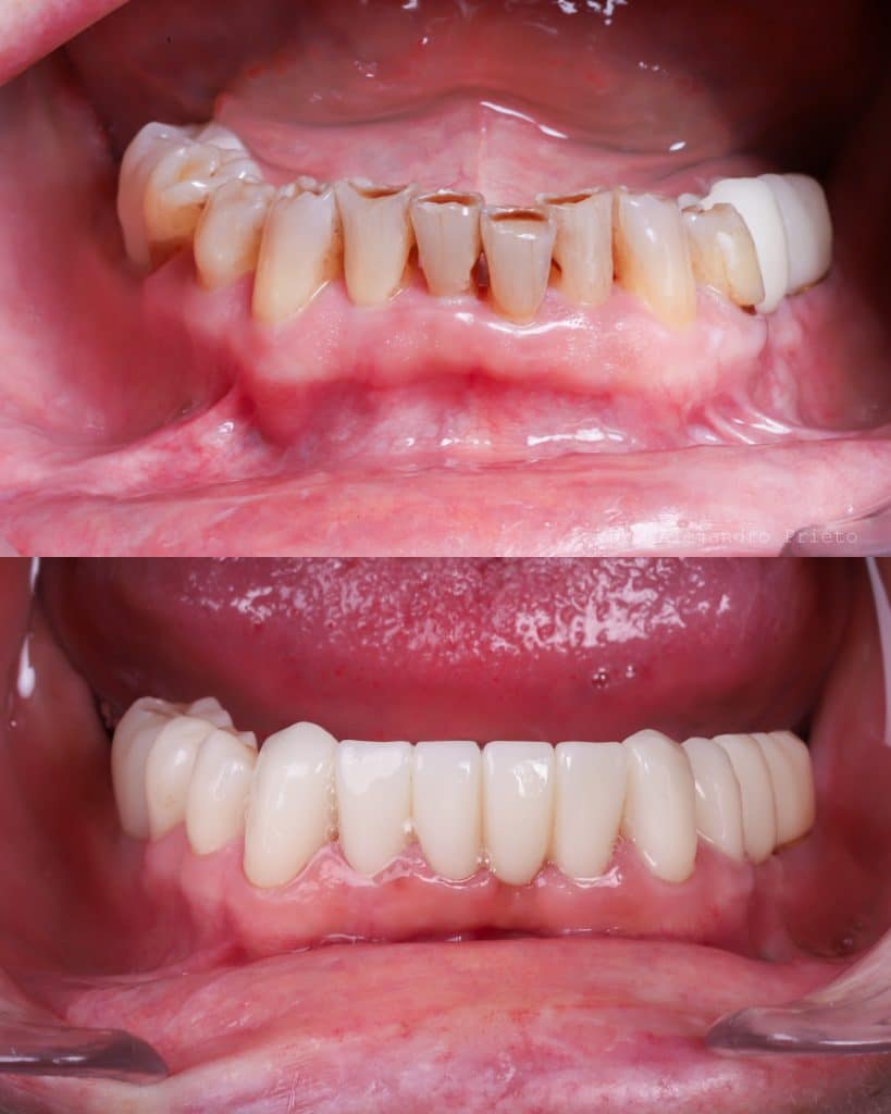
Especialistas en casos complejos y regeneración ósea
En MAG Dental Madrid, tratamos desde los casos más sencillos hasta los más complejos, gracias a técnicas como los implantes cigomáticos, implantes pterigoideos y implantes sin tornillos o yuxtaóseos, ideales para pacientes con falta de hueso.
Nuestro equipo de especialistas en implantes dentales trabaja con tecnología de última generación: cirugía guiada 3D, escáner intraoral digital y sistemas DSD (Digital Smile Design) para planificar con precisión cada caso. Además, realizamos tratamientos de carga inmediata, lo que te permite recuperar tus dientes en un solo día, con una estética y funcionalidad excepcionales.

Calidad, materiales y resultados garantizados
En nuestra clínica utilizamos las mejores marcas de implantes dentales, como Straumann, Zimmer –Zimvie– Astra Tech o Nobel Biocare, reconocidas por su biocompatibilidad, integración ósea y garantía de por vida.
Los implantes dentales que colocamos están fabricados en titanio o zirconio, materiales 100 % seguros y duraderos.
Gracias a nuestro laboratorio dental en exclusiva, diseñamos coronas personalizadas y logramos resultados estéticos superiores en menos tiempo.
En cuanto al precio de los implantes dentales en Madrid, puede variar entre 900 € y 1.800 €, dependiendo del tipo de cirugía, el material y la corona elegida. En MAG Dental Madrid, garantizamos la mejor relación calidad-precio, posicionándonos dentro del ranking de las mejores clínicas dentales de Madrid, según Top Doctors y Madrid Diferente.

Experiencia, tecnología y garantía de por vida
Cada tratamiento comienza con un estudio digital personalizado. Todos los implantes dentales que colocamos incluyen garantía de por vida en las estructuras de titanio, junto a un programa de mantenimiento y revisiones anuales.
Por eso, MAG Dental Madrid se ha consolidado entre las mejores clínicas para implantes dentales de España: combinamos precisión quirúrgica, tecnología avanzada y una atención humana y cercana.
Preguntas frecuentes sobre implantes dentales
¿Cuál es la mejor marca de implantes dentales?
Las más fiables y duraderas son Straumann, Nobel Biocare, Astra Tech y Zimmer Biomet -Zimvie-. Todas garantizan una integración ósea excelente y resultados estables a largo plazo.
¿Qué sitio oral tiene la tasa de éxito más alta en implantes?
El hueso mandibular suele ofrecer la mayor tasa de éxito, aunque gracias a técnicas avanzadas de regeneración y a los implantes cigomáticos, hoy se logran resultados excelentes incluso en pacientes con pérdida ósea severa.
¿Cuál es el implante dental más recomendable?
Depende de cada caso clínico. Para la mayoría de pacientes, el implante de titanio es el más seguro. Si hay poco hueso, los implantes subperiósticos o sin tornillos son una excelente alternativa.
¿Cuáles son los implantes dentales más duraderos?
Los de titanio grado IV y zirconio monolítico pueden durar más de 25 años con una correcta higiene y mantenimiento profesional.
¿Cuánto cuesta un implante dental en España?
El precio medio de un implante dental en España oscila entre 900 € y 1.800 €, dependiendo del tipo de cirugía y material utilizado.
¿Qué comer después de un implante dental?
Durante los primeros días, se recomienda una dieta blanda y fría (purés, sopas, yogures) para favorecer la cicatrización.
¿Me puedo hacer una resonancia con implantes dentales?
Sí. Los implantes de titanio y zirconio son totalmente compatibles con resonancias magnéticas y no interfieren con los equipos.
Recupera tu sonrisa con los mejores especialistas en implantes dentales de Madrid. En MAG Dental Madrid, realizamos tu estudio completo y te presentamos el plan de tratamiento más avanzado, sin compromiso. Pide tu primera consulta gratuita y descubre por qué somos una referencia en implantología avanzada en Hortaleza, Madrid.
- Encía inflamada en el embarazo: causas, síntomas y cómo cuidarlas - 14 noviembre 2025
- Encías negras: causas, tratamiento y cómo aclararlas - 7 noviembre 2025
- Hueco entre implante y encía: causas y soluciones - 4 noviembre 2025