Implantes dentales sin tornillos: qué son, precio y cuándo son la mejor opción
Cuando te dicen que “no tienes hueso suficiente para implantes”, es normal pensar que la única solución son dentaduras removibles que se mueven. Y, en realidad, el problema es que quizá no has ido al lugar adecuado.
En MAG Dental Madrid somos especialistas en solucionar casos complejos de pacientes con poco o nada de hueso dental. Para ello utilizamos diferentes técnicas avanzadas de implantología y regeneración ósea. Entre ellas, una de las opciones más innovadoras en casos muy seleccionados son los implantes dentales sin tornillos, también conocidos como implantes subperiósticos o yuxtaóseos.
En lugar de colocar varios tornillos dentro del hueso, se diseña una estructura metálica personalizada que se apoya sobre él y se fija bajo la encía. Sobre esa estructura se colocan dientes fijos, devolviendo función y estética incluso en bocas con una pérdida ósea muy avanzada.

Qué son los implantes dentales sin tornillos
Los implantes dentales sin tornillos son implantes subperiósticos o yuxtaóseos: una estructura de titanio hecha a medida que se adapta al contorno del hueso maxilar o mandibular. A diferencia de los implantes tradicionales, aquí no se introduce un tornillo dentro del hueso; la estructura se apoya sobre él y se fija bajo la encía.
En resumen:
- Se diseña una base metálica personalizada a partir de un TAC 3D.
- Esa base se apoya sobre el hueso, por debajo del periostio.
- De la estructura salen unos pilares que emergen a la boca.
- Sobre esos pilares se colocan los dientes fijos.
Cuando hablamos de implante dental sin tornillos o implantes sin tornillos nos referimos a este concepto: una solución fija para casos con muy poco hueso, donde la implantología convencional ya no es posible o sería excesivamente invasiva.
Cómo son los implantes dentales sin tornillos y cómo se colocan
Diseño y planificación digital -sin coste-
Todo empieza con un estudio detallado:
- Historia clínica y exploración de encías, mucosa y mordida.
- TAC 3D para conocer exactamente la forma del hueso.
Con esa información se diseña por ordenador la estructura subperióstica. Puedes imaginarla como un “andamiaje” de titanio que abraza el hueso allí donde todavía es más denso y resistente.
Cirugía
En quirófano, bajo antestesia -cirugía sin dolor-:
- Se levanta cuidadosamente la encía para dejar a la vista el hueso.
- Se coloca la estructura sobre el hueso y se fija bajo el periostio.
- Se sutura la encía por encima, dejando expuestos únicamente los pilares.
Tras la cicatrización, esos pilares permiten colocar dientes fijos. Hablamos entonces de implantes dentales fijos sin tornillos internos en el hueso, pero con una estabilidad suficiente para masticar y sonreír con seguridad.
Desde fuera, el paciente ve dientes fijos que salen de la encía. No ve tornillos ni piezas metálicas, solo una prótesis bien adaptada. La sensación es la de llevar dientes propios, incluso en casos donde antes solo se ofrecían prótesis removibles.
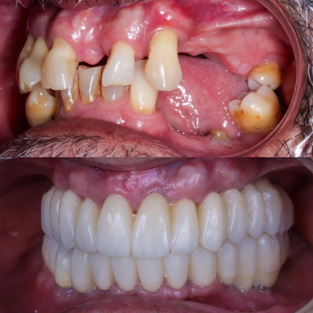
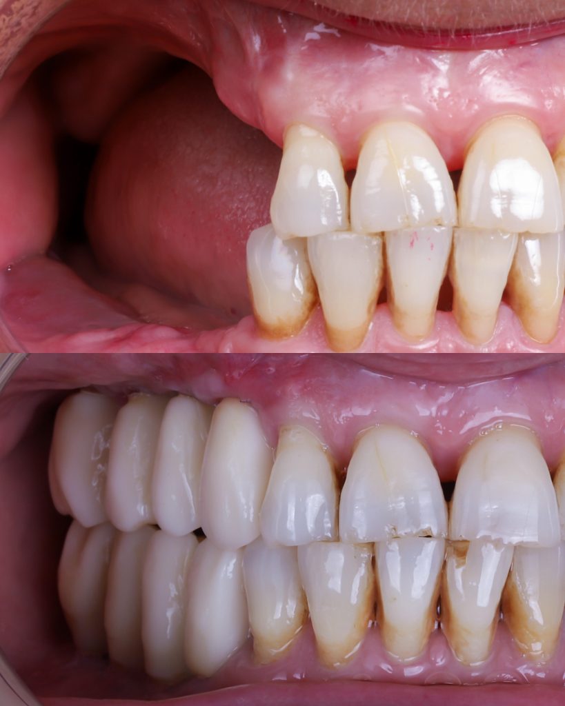
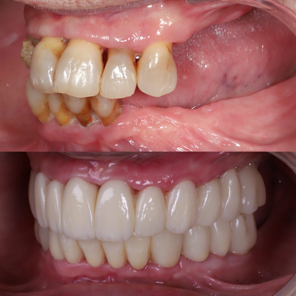
Mas abajo, se puede observar una foto de antes y después de uno de nuestros pacientes con caso de falta de hueso dental severa.
Una técnica novedosa
Los implantes subperiósticos modernos, diseñados de forma digital y fabricados en titanio a medida, son una técnica relativamente reciente en su versión actual.
- Tenemos buenos resultados y experiencias positivas a corto y medio plazo.
- Pero todavía no contamos con tantos estudios a muy largo plazo como sí tenemos de los implantes de tornillo tradicionales.
Por eso, cuando planteamos implantes dentales sin tornillos siempre explicamos claramente:
- Qué beneficios pueden aportar en tu caso.
- Qué alternativas existen.
- Qué incertidumbres hay todavía respecto a su comportamiento a muchos años vista, ya que es una técnica novedosa.
Tipos de implantes dentales sin tornillos
Dentro de esta técnica podemos encontrar varios tipos de implantes dentales sin tornillos según el diseño y la extensión:
- Estructuras parciales
Se usan cuando la falta de hueso se concentra en una zona concreta (por ejemplo, un sector posterior). - Estructuras de arcada completa
Se emplean cuando la atrofia ósea es generalizada y se necesita una base amplia para toda la arcada superior o inferior. - Diseños combinados
A veces se combinan implantes convencionales en las zonas que aún tienen hueso con una estructura subperióstica en la zona más reabsorbida.
La elección del diseño depende siempre de tu anatomía, del TAC 3D y del plan global de rehabilitación, no solo de “querer implantes sin tornillos”.
En esta foto se puede observar uno de los tipos de implantes sin tornillos más usados, la estructura para arcada completa

Para quién son una buena opción los implantes sin tornillos
Los implantes dentales sin tornillos están indicados, sobre todo, en pacientes con:
- Pérdida ósea severa tras muchos años sin dientes.
- Dentaduras completas que se mueven y casi no tienen apoyo óseo.
- Fracasos previos con implantes convencionales por falta de hueso.
- Limitaciones médicas o personales para realizar injertos óseos grandes o cirugías muy extensas.
No son la técnica de primera elección cuando hay hueso suficiente para colocar implantes convencionales. En esos casos, la opción más sencilla y predecible suelen ser los implantes de tornillo clásicos, acompañados si hace falta de injertos de hueso localizados o elevaciones de seno.
Otras alternativas cuando hay poco hueso
Los implantes dentales sin tornillos no son la única solución posible en casos de poco hueso. Como informa Scielo España, hay casos de falta de hueso maxilar severo que pueden ser solucionados con injerto óseo. Ademàs, según tu anatomía, tu salud general, se pueden valorar:
- Implantes cigomáticos
Utilizan el hueso del pómulo cuando el maxilar superior está muy reabsorbido. - Implantes yuxtaóseos o subperiósticos
Son precisamente los implantes dentales sin tornillos de los que hablamos en este artículo: estructuras apoyadas sobre el hueso. - Implantes transnasales o pterigoideos
Aprovechan zonas posteriores y profundas del maxilar con hueso de buena calidad. - Injerto de hueso y regeneración ósea
Permite recuperar volumen óseo para, más adelante, colocar implantes convencionales. - Elevación de seno maxilar
Técnica habitual en el maxilar superior para ganar altura de hueso en la zona posterior antes de colocar implantes.
En muchos casos, la solución ideal no es una sola técnica, sino una combinación planificada: por ejemplo, regeneración ósea en ciertas zonas, implantes convencionales donde hay más hueso e implantes sin tornillos o cigomáticos en áreas con atrofia extrema. La Sociedad Española de Periodoncia y Osteointegracion recomienda la colocación de implantes dentales para evitar la pérdida de mayor masa ósea maxilar.
Este es un ejemplo de paciente con falta severa de hueso dental que solucionamos con implantes cigomáticos ya que era la solución ideal para este paciente.
Ventajas de los implantes dentales sin tornillos
Entre las principales ventajas podemos destacar:
- Dientes fijos en casos con muy poco hueso.
- Menos necesidad de grandes injertos óseos en determinados pacientes.
- Estructura completamente personalizada a tu anatomía.
- Mayor estabilidad y seguridad que una dentadura removible.
- Posibilidad de mejorar el soporte de labios y mejillas, rejuveneciendo el tercio inferior de la cara.
Para quien lleva años con prótesis que se mueven, poder volver a masticar con seguridad y sonreír sin miedo supone un cambio enorme en su calidad de vida.
Implantes dentales sin tornillos: inconvenientes que debes conocer
También es importante hablar de los implantes dentales sin tornillos inconvenientes:
- Cirugía más amplia
La colocación de la estructura exige levantar un colgajo grande de encía, por lo que suele ser una cirugía más extensa que la de uno o dos implantes aislados. - Mayor exigencia técnica
El diseño debe ser muy preciso. Una estructura mal ajustada puede generar puntos de presión, molestias o problemas mecánicos. - Falta de estudios a muy largo plazo
Aunque los resultados actuales son prometedores, todavía no disponemos del mismo volumen de evidencia a muchos años vista que tenemos con los implantes endoóseos tradicionales. - Mantenimiento y revisiones
Necesitan controles periódicos, radiografías de seguimiento y una higiene muy rigurosa alrededor de la prótesis para evitar inflamación y problemas periimplantarios.
Por todo eso, no es una técnica “de moda”, sino una herramienta específica para casos complejos, que debe indicarse con criterio y explicando bien sus ventajas y límites.
Precio de los implantes dentales sin tornillos en España
Llegamos a la gran pregunta: ¿Cuánto cuestan los implantes dentales sin tornillos?
El precio de implantes dentales sin tornillos en España empieza desde 2.000 euros. Es mas elevado que el convencional ya que se realizan a medida. Además es importante tener en cuenta que el precio dependerá de:
- Si se rehabilita una zona concreta o toda la arcada.
- El diseño y tamaño de la estructura subperióstica.
- El tipo de prótesis fija que se colocará encima (materiales, número de dientes, nivel estético).
- Las pruebas necesarias (TAC 3D, registros, pruebas de prueba de dientes).
- Si se combinan o no con otras técnicas (implantes cigomáticos, injertos, etc.).
En general, se trata de un tratamiento de alta complejidad, con un coste algo superior al de una rehabilitación completa con implantes convencionales de gama alta. Siempre intentaremos encontrar la solución que mejor se ajuste a tu caso y el precio más óptimo.
Lo más importante es:
- Hacer un estudio personalizado con diagnóstico digital – sin coste-.
- Valorar todas las opciones posibles para tu caso -sin coste-
- Presentarte un presupuesto claro, por fases, antes de empezar.
Opiniones sobre implantes dentales sin tornillos
Al buscar “implantes dentales sin tornillos opiniones” puedes encontrar testimonios muy distintos. Es normal, porque:
- No todos los pacientes parten de la misma situación.
- No todas las clínicas tienen la misma experiencia en esta técnica.
- No siempre se explican igual de bien las expectativas y el mantenimiento.
Suele haber opiniones muy positivas cuando:
- El paciente venía de una situación muy limitada (poco hueso, prótesis muy inestables).
- La estructura está bien diseñada y la prótesis fija es cómoda y estética.
- Se cumplen las revisiones y las indicaciones de higiene.
Y experiencias menos buenas cuando:
- Se intenta solucionar todo con una sola técnica sin valorar alternativas.
- No hay un estudio digital serio previo.
- No se hace un buen seguimiento en el tiempo.
Por eso, más que guiarte solo por opiniones, lo más sensato es realizar una valoración presencial con un equipo acostumbrado a manejar casos complejos.
En este caso podemos ver el caso de uno de nuestros pacientes que no tenía hueso dental. Las opiniones de nuestros pacientes son muy positivas.
Qué se puede poner en lugar de implantes dentales
Las principales alternativas son:
- Prótesis completas removibles
Son las dentaduras clásicas. Pueden ser estéticas y relativamente cómodas si están bien hechas, pero se apoyan en la encía y tienden a moverse. - Prótesis parciales removibles
Se sujetan en parte a dientes naturales, en parte a la mucosa. Pueden funcionar razonablemente bien en algunos casos. - Puentes fijos sobre dientes naturales
Se usan cuando faltan pocos dientes y los vecinos están sanos y pueden servir de apoyo.
En bocas con poco hueso, los implantes dentales sin tornillos, los implantes cigomáticos, los transnasales o la regeneración ósea pueden ser alternativas para seguir teniendo dientes fijos. La elección no debe basarse solo en el coste, sino en la salud, la previsibilidad y la comodidad a largo plazo.
Qué es lo más moderno en implantes dentales
Cuando hablamos de “lo más moderno” en implantes dentales, no nos referimos solo a un tipo nuevo de tornillo. Hoy la verdadera innovación está en:
- Estudio completamente digital: TAC 3D, escáner intraoral y planificación virtual.
- Cirugía guiada para colocar los implantes con precisión milimétrica.
- Prótesis de alta estética y resistencia (zirconio, cerámicas avanzadas).
- Técnicas específicas para casos extremos de pérdida ósea: subperiósticos, cigomáticos, transnasales, regeneración avanzada.
Los implantes dentales sin tornillos se enmarcan en esta implantología compleja y de alto nivel, pensada para devolver dientes fijos incluso en bocas muy castigadas.
Cómo abordamos estos casos en MAG Dental Madrid
En MAG Dental Madrid somos especialistas en implantología compleja y en casos con poco hueso. Recibimos pacientes de diferentes puntos de España y de otros países que buscan soluciones avanzadas para recuperar dientes fijos.
Nuestro equipo está liderado por el Dr. Alejandro Prieto, cirujano experto en regeneración de hueso dental y en colocación de todo tipo de implantes, trabajando siempre con las mejores marcas de implantes dentales del mundo.
Nuestro enfoque se basa en:
- Estudio personalizado totalmente digitalizado, sin coste para el paciente.
- Explicación clara de todas las opciones: implantes convencionales, regeneración ósea, elevación de seno, implantes cigomáticos, transnasales y, cuando está indicado, implantes sin tornillos subperiósticos.
- Todos nuestros tratamientos incluyen dientes en el día con carga inmediata.
- Laboratorio en exclusiva para nuestros casos, lo que nos da un control total sobre la estética y el ajuste de las prótesis.
- Uso de las mejores marcas de implantes, con garantía de por vida en los implantes colocados, siempre que se cumplan las revisiones y el mantenimiento recomendado.
- Damos garantía de por vida en implantes dentales.
Caso de falta de hueso maxilar irregular solucionado con regeneración de hueso autólogo.

Preguntas frecuentes sobre implantes dentales sin tornillos
¿Qué son los implantes dentales sin tornillos?
Son implantes subperiósticos o yuxtaóseos: una estructura metálica de titanio diseñada a medida, que se apoya sobre el hueso y se fija bajo la encía. Sobre esa base se colocan dientes fijos, sin necesidad de introducir varios tornillos dentro del hueso como en la técnica convencional.
¿Cuánto cuestan los implantes dentales sin tornillos?
El precio de los implantes dentales sin tornillos depende del alcance del tratamiento (sector o arcada completa), del diseño de la estructura, del tipo de prótesis fija y de las pruebas necesarias. No hay un precio único para todos los casos. Lo responsable es realizar un estudio personalizado y, a partir de ahí, ofrecer un presupuesto detallado.
Qué es lo más moderno en implantes dentales
Lo más moderno hoy en implantes dentales es la combinación de diagnóstico 3D, planificación digital, cirugía guiada, materiales de alta estética y técnicas específicas para poco hueso, como los implantes subperiósticos, cigomáticos o transnasales, junto con regeneración ósea avanzada cuando es necesario.
Qué se puede poner en lugar de implantes dentales
Si no se colocan implantes, las opciones son prótesis completas o parciales removibles y, en ciertos casos, puentes fijos sobre dientes naturales. En bocas con pérdida ósea severa, se pueden valorar también implantes cigomáticos, regeneración ósea, elevación de seno maxilar o implantes sin tornillos. La mejor opción se decide tras un estudio completo de cada paciente.
Próximo paso: tu estudio digital sin coste
Si te han dicho que no tienes hueso para implantes, llevas años con una dentadura que se mueve o simplemente quieres una segunda opinión en un centro especializado en casos complejos, el siguiente paso es muy sencillo:
- Reserva una cita para tu estudio digital sin coste. El Dr. Alejandro Prieto te explicará qué opciones tienes (incluidos implantes convencionales, regeneración ósea, cigomáticos, transnasales o subperiósticos), sus ventajas, inconvenientes y presupuesto.
En MAG Dental Madrid te ayudaremos a recuperar una boca funcional y una sonrisa natural con la solución más adecuada para ti, con dientes fijos, carga inmediata en los casos indicados, laboratorio propio y garantía de por vida en los implantes.
Faq’s
Q1. ¿cómo son los implantes dentales sin tornillos?
A. Los implantes dentales sin tornillos o implantes subperiósticos, son una tecnología diseñada para pacientes con poco o ningún hueso. En lugar de roscarse al hueso, su diseño permite una unión estable por presión o encaje,ideal para pacientes sin hueso dental. En MAG Dental Madrid, el Dr. Alejandro Prieto aplica esta y otras técnicas avanzadas —como los implantes subpterigoideos, cigomáticos, transnasales o los injertos de hueso— seleccionando siempre la opción más adecuada para lograr una rehabilitación segura, funcional, estética y duradera en cada paciente.
- Encía inflamada en el embarazo: causas, síntomas y cómo cuidarlas - 14 noviembre 2025
- Encías negras: causas, tratamiento y cómo aclararlas - 7 noviembre 2025
- Hueco entre implante y encía: causas y soluciones - 4 noviembre 2025


