Implantes Dentales en Madrid | Expertos en Implantología Avanzada
¿Buscas una solución segura y duradera para recuperar tu sonrisa en Madrid? En Clínica MAG Dental somos especialistas en implantes dentales con precios transparentes, primera visita gratis y financiación hasta 48 meses sin intereses. Estamos en Hortaleza, cerca de IFEMA y Palacio de Hielo.
Los mejores especialistas en implantes dentales de Madrid
En Clínica MAG Dental (Hortaleza, Madrid) somos una clínica de implantes dentales de referencia con más de 30 años de experiencia en implantología dental en Madrid. Si buscas confianza, resultados naturales y un equipo cercano, aquí encontrarás a los especialistas en implantes dentales en Madrid que necesitas.
Nuestro equipo está liderado por el Dr. Alejandro Prieto García, director del área de Cirugía e Implantología, reconocido en TopDoctors y Doctoralia como uno de los especialistas mejor valorados en España.
Gracias a su trayectoria y a la tecnología más avanzada, muchos pacientes acuden a nosotros no solo desde Madrid, sino también desde otras ciudades de España y del extranjero, en busca de soluciones incluso para los casos más complejos.
Primera visita gratuita, financiación hasta 48 meses sin intereses y garantía de por vida en implantes y prótesis.
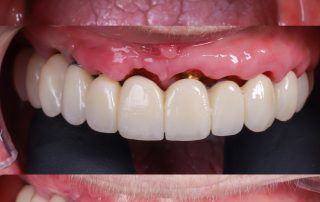
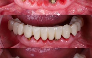
What is a dental implant?
A dental implant is a small titanium screw that replaces the root of a missing tooth. Once placed in the bone, a custom crown, identical in shape and color to the natural teeth, is placed on top.
When you choose a dental implant in Madrid with our team, you’ll regain chewing function, the aesthetics of your smile, and the confidence to speak and smile without hesitation. At our dental implant clinic in Madrid, we work on every detail to achieve a completely natural result.
When is it necessary to place a dental implant?
At MAG Dental Clinic, our dental implant specialists in Madrid always first consider the possibility of preserving your natural tooth. However, if tooth loss has already occurred, placing an implant as soon as possible is key to preventing bone loss.
In cases where bone is already insufficient, we apply advanced dental implant techniques in Madrid, such as maxillary sinus lift or guided bone regeneration. We also offer pterygoid and zygomatic implants, which allow teeth to be placed even in situations with limited bone, without the need for additional grafts in many patients.
Thanks to this experience, we are recognized as a trusted dental implant clinic in Madrid for successfully resolving complex cases.
How is a dental implant placed?
The process at MAG Dental is safe, fast and painless:
- We apply local anesthesia so that the patient does not feel discomfort.
- A small incision is made in the gum and the screw-shaped implant is placed.
- The implant remains firmly integrated into the bone, functioning as a new root.
- On top of it, we place an aesthetic and resistant crown that blends naturally with the rest of the teeth.
The result: a predictable, aesthetic, and long-lasting treatment that improves your health and your smile.
Why choose MAG Dental Clinic for your implants in Madrid?
- Proven experience: more than 30 years in dental implantology in Madrid.
- Cutting-edge technology: computer-guided surgery, digital planning, and premium materials.
- Customized treatments: from single implants to full-arch implants and teeth in one day.
- Trust and transparency: fixed prices and no surprises.
- Close attention: each patient receives a customized plan and humane and professional treatment.
When patients search for “dental implant clinic Madrid” or “dental implants Madrid,” they’re looking for more than just a treatment: they’re looking for safety, natural results, and a team that truly cares about their smile. That’s exactly what we offer at MAG Dental Clinic.
Types of Dental Implants in Madrid and Our Solutions at MAG Dental Clinic
At MAG Dental Clinic, we know that every patient is unique and that not all treatments are the same. That’s why we offer different types of dental implants in Madrid, tailored to the condition of your mouth, the amount of bone available, and your aesthetic and functional goals.
Tratamientos / Implantología / Implantes Unitarios
La colocación de un implante unitario se realiza tras la pérdida de un diente. Permite colocar el implante en el día, recuperando totalmente la funcionalidad y estética.
En nuestra clínica dental en Madrid, trabajamos con los mejores materiales con la marca de implantes Zimmer, asegurando la mayor durabilidad y seguridad.
Tratamientos / Implantología / Prótesis Implanto Retenida
La prótesis implanto-retenida consta de una parte fija que usted no puede retirar y que a su vez va unida a los implantes que se le colocaron en su maxilar, y de una parte removible que consiste en un aparato que repone los dientes perdidos y que le va a permitir disfrutar de una mejor salud bucal.
Tratamientos / Implantología / Regeneración Ósea Guiada
La regeneración ósea guiada trata de mejorar el estado del hueso que va a soportar el implante mediante colocación de biomaterial intraquirurgicamente.
En Clínica MAG Dental somos expertos en este tipo de regeneración y otros tipos, consúltanos si tienes problemas de hueso o tejidos y le informaremos sobre la mejor opción.
Precios de Implantes Dentales en Madrid
Los precios de implantes dentales en Madrid pueden variar de una clínica a otra. El precio implante dental Madrid depende de factores como la calidad de los materiales, la experiencia del especialista y si son necesarios tratamientos adicionales.
En 2024, el coste medio de un implante en la capital se sitúa en torno a 1.450 €, con un rango que va de 1.000 a 1.900 € todo incluido. Si te preguntas cuánto vale un implante dental o cuánto cuesta un implante dental Madrid, en Clínica MAG Dental apostamos por ofrecer precios claros, sin sorpresas y con financiación hasta 48 meses sin intereses.
Tabla de precios implantes dentales Madrid (Clínica MAG Dental)
| Tratamiento | Precio (€) | Incluye |
|---|---|---|
| Implante dental unitario | desde 1.612 | Cirugía + tornillo de titanio + corona |
| Implante de carga inmediata | +350 | Colocación de diente provisional en el día |
Factores que influyen en el precio de los implantes
-
Marca y tipo de implante utilizado (titanio o zirconio).
-
Experiencia de los especialistas en implantes dentales en Madrid.
-
Complejidad del caso (ejemplo: regeneración ósea o elevación de seno).
-
Tecnología empleada (cirugía guiada, escáner 3D, CAD/CAM).
Ubicación conveniente en Hortaleza, Madrid
Nuestra clínica dental implantes Madrid está situada en Canillas (28043 Hortaleza), a pocos minutos de Palacio de Hielo, IFEMA Madrid y Parque Juan Carlos I. Gracias a esta ubicación, recibimos pacientes no solo de Hortaleza, sino también de Alcobendas, San Sebastián de los Reyes, Coslada, Torrejón de Ardoz, Pozuelo, Majadahonda, Getafe, Leganés, Alcorcón y Rivas-Vaciamadrid.
Tanto si necesitas un implante dentales Madrid como una restauración completa de tu sonrisa, nuestro equipo te acompañará en cada paso con claridad, seguridad y confianza.
Llámanos al +34 917 595 687 / +34 608 878 877 o solicita tu cita online ahora.
Tu nueva sonrisa empieza aquí… y estamos para que dure toda la vida.
Testimonios
Los pacientes en Madrid confían en nosotros para sus implantes dentales en Hortaleza gracias a nuestro trato cercano, tecnología avanzada y especialistas con experiencia. En Clínica MAG Dental somos referencia en implantes dentales Madrid, ofreciendo resultados seguros y duraderos.
Dudas Frecuentes
¿DÓNDE ENCONTRARNOS?
CONTACTA CON NOSOTROS
¡1ª Visita sin coste!
PIDE YA TU CITA ONLINE
¿Tienes alguna pregunta o necesitas más información? Nuestro equipo estará encantado de ayudarte y solucionar tus dudas. Ponte en contacto con nosotros a través de este formulario, nuestra dirección de e-mail o por teléfono ¡También atendemos WhatsApp!




