Fotos de encías retraídas: causas, tratamiento y resultados
¿Te has fijado en que tus dientes parecen más largos o que tus encías han “subido”? Es posible que sufras encías retraídas, un problema frecuente que afecta tanto a la estética como a la salud bucodental.
En MAG Dental Madrid, clínica dental ubicada en, Hortaleza, Madrid, tratamos a diario casos de recesión gingival con resultados visibles. En este artículo te mostramos fotos de encías retraídas antes y después, explicamos cómo sanar encías retraídas, qué hacer cuando las encías se retraen y cómo regenerarlas sin cirugía.

¿Qué son las encías retraídas?
Las encías retraídas ocurren cuando el tejido gingival que rodea los dientes se desplaza hacia abajo, dejando al descubierto parte de la raíz.
Esto puede generar sensibilidad, encías inflamadas, mayor riesgo de caries y un impacto estético evidente. En casos leves puede afectar a una sola pieza (encía retraída en un solo diente), pero con el tiempo puede extenderse a más zonas.
Causas más frecuentes de encías retraídas
Comprender las encías retraídas causas ayuda a prevenirlas:
-
Cepillado dental agresivo o con cerdas duras.
-
Enfermedad periodontal (gingivitis o periodontitis).
-
Bruxismo por estrés, según el Consejo de Dentistas (apretar los dientes).
-
Ortodoncia mal controlada.
-
Factores genéticos.
-
Cambios hormonales o envejecimiento.
En MAG Dental Madrid realizamos estudios periodontales para identificar la causa exacta y personalizar el tratamiento.
Síntomas y señales de alarma
Los principales síntomas de encías retraídas son:
-
Dientes más largos de lo habitual.
-
Raíces visibles.
-
Sensibilidad al frío o calor.
-
Sangrado de encías al cepillarse.
-
En casos graves, movilidad dental.
Si notas alguno de estos signos, pide cita con un dentista en Hortaleza especializado en encías retraídas para evitar que el problema avance.

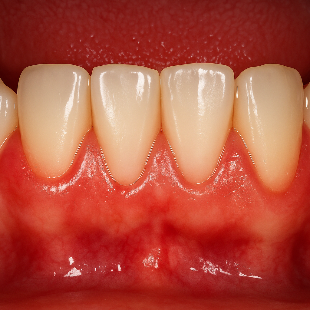
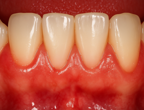
Fotos encías retraídas antes y después
Las fotos de encías retraídas antes y después muestran cómo los tratamientos adecuados pueden mejorar notablemente la estética y la salud de las encías.
En MAG Dental Madrid, documentamos cada caso con imágenes clínicas para evaluar la evolución y mostrar resultados reales de regeneración de encías retraídas con cirugía o con microinjertos cuando es necesario.

¿Cómo curar y regenerar las encías retraídas?
Tratamientos profesionales
-
Limpieza profunda y control periodontal: elimina bacterias y detiene el avance.
-
Ácido hialurónico para encías retraídas: técnica mínimamente invasiva que mejora la textura y favorece la regeneración.
-
Microinjertos de encía: cuando la retracción es avanzada.
-
Tratamientos combinados con colágeno o factores de crecimiento.
Estos métodos permiten regenerar encías retraídas sin cirugía en casos seleccionados.
Remedios caseros: lo que sí y lo que no
Muchos buscan encías retraídas remedios caseros o cómo regenerar las encías de forma natural.
Aunque una buena higiene, enjuagues con agua salina o aceite de coco pueden aliviar la inflamación, no regeneran la encía perdida.
Los tratamientos caseros solo sirven de apoyo. Para resultados reales, se necesita diagnóstico profesional.
Productos recomendados para cuidar encías retraídas
-
Pasta dental para encías retraídas con flúor y componentes calmantes.
-
Parodontax encías retraídas o similares, para fortalecer el tejido gingival.
-
Colutorio para encías retraídas, preferiblemente sin alcohol.
-
Cepillo eléctrico para encías retraídas con cerdas suaves.
Evita el uso de agua oxigenada para encías retraídas, ya que puede irritar el tejido. - El láser dental puede ser una opción menos invasiva para eliminar el tejido dañado y estimular la regeneración de las encías.
¿Cuándo es grave la retracción de encías?
La retracción se considera grave cuando:
-
La raíz del diente está expuesta.
-
Hay movilidad dental.
-
Aparece dolor o sangrado.
-
El avance es rápido.
En estas situaciones, la periodontitis puede estar activa y necesita tratamiento inmediato para evitar la pérdida de piezas.
Implantes y ortodoncia con encías retraídas
Una duda habitual es si es conveniente ponerse implantes teniendo las encías muy retraídas.
Sí, pero solo después de regenerar el tejido gingival. En MAG Dental Madrid, realizamos injertos y regeneraciones previas a implantes para garantizar estabilidad y estética.
También es posible poner ortodoncia con encías retraídas, siempre que la encía esté sana y controlada.
Cuidado y prevención diaria
-
Cepilla con movimientos suaves y cepillo blando.
-
Usa colutorio específico.
-
Mantén revisiones periódicas.
-
No fumes ni aprietes los dientes.
-
Controla el estrés y el bruxismo.
Estas medidas ayudan a fortalecer las encías retraídas y evitar que reaparezca el problema.
Casos reales en MAG Dental Madrid
En nuestra clínica hemos tratado numerosos casos de encías retraídas en Madrid norte.
Uno de ellos, una paciente con retracción en los incisivos inferiores, consiguió recuperar encías retraídas gracias a un tratamiento combinado de ácido hialurónico y colágeno, sin necesidad de cirugía.
El resultado: sonrisa natural y sensibilidad reducida.
Preguntas frecuentes encías retraídas
¿Cómo sanar encías retraídas?
Con tratamientos profesionales de regeneración, buena higiene y revisiones periódicas.
¿Encías retraídas remedios caseros?
Pueden aliviar la irritación, pero no regeneran la encía.
¿Qué hacer cuando las encías se retraen?
Evita el cepillado fuerte y pide valoración periodontal.
¿Cómo regenerar encías retraídas de forma natural?
No existe regeneración total natural; solo puede lograrse con tratamientos clínicos.
¿Cuándo es grave la retracción de encías?
Cuando hay exposición radicular, sensibilidad o movilidad dental.
¿Qué enfermedad retrae las encías?
Principalmente la periodontitis.
En resumen
Las encías retraídas tienen solución si se tratan a tiempo. En MAG Dental Madrid, en Hortaleza, Madrid, contamos con especialistas en periodoncia y estética gingival para ayudarte a recuperar tu sonrisa. contacta con nosotros hoy mismo!
- Sensibilidad dental: causas, tratamiento y cómo eliminarla definitivamente - 2 noviembre 2025
- Encías retraídas: causas, tratamientos y cómo regenerarlas - 30 octubre 2025
- Encías inflamadas: causas, síntomas y cómo tratarlas - 29 octubre 2025