DENTADURA FIJA SOBRE IMPLANTES EN MADRID

Clínica dental especialista en rehabilitación completa de arcadas mediante dentadura fija sobre implantes dentales en Madrid ¡Te mereces tener unos dientes funcionales y bonitos!

Garantía, experiencia y buen asesoramiento ¡1ª visita GRATIS!

Dentadura completa con menos implantes

ARCADA COMPLETA

Tratamientos / Implantología / Arcada completa

Implantología

La arcada completa es la solución más adecuada para pacientes que han perdido gran parte de los dientes. En esta pequeña intervención, se rehabilitan todos los dientes de arriba y/o todos los dientes de abajo. A diferencia del caso de implantes unitarios en la que se sustituye un implante por diente, la arcada completa se realiza en un número reducido de implantes que actuarán como sujeción de la prótesis. En el mismo día de la intervención volverás a casa con tu dentadura provisional con total funcionalidad y estética. Pasados unos meses, una vez integrados los implantes en el hueso, se colocan los implantes definitivos.

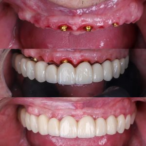
Ejemplos de dentaduras fijas sobre implantes en Madrid

En nuestra clínica dental de Madrid contamos con gran experiencia realizando rehabilitaciones completas sobre implantes dentales. Los resultados siempre son muy satisfactorios ya que el paciente puede comer perfectamente y además luce una sonrisa espectacular. En las siguientes fotos puede ver algunos de los casos tratados en nuestra clínica dental.

blanqueamiento dental Madrid
blanqueamiento dental Madrid

¿DÓNDE ENCONTRARNOS?

CONTACTA CON NOSOTROS

¡1ª Visita gratis!

  • Carretera de Canillas, 136 Post. 28043, Madrid, Hortaleza

  • contacto@magdentalmadrid.com

PIDE YA TU CITA ONLINE

¿Tienes alguna pregunta o necesitas más información? Nuestro equipo estará encantado de ayudarte y solucionar tus dudas. Ponte en contacto con nosotros a través de este formulario, nuestra dirección de e-mail o por teléfono ¡También atendemos WhatsApp!

    • Responsable: María Ángeles García Clínica Dental S.L (MAG DENTAL).

    • Finalidad: Recabamos sus datos con la finalidad de poder contactar con usted.

    • Legitimación: Consentimiento.

    • Destinatarios: Ninguno.

    • Derechos: Puede ejercer sus derechos de acceso, rectificación, cancelación y portabilidad ante el responsable de tratamiento (MAG DENTAL).
      Más información en política de privacidad.

    MAG Clínica Estético Dental

    «Hemos tratado centenares de los casos más complejos en implantología de Madrid».

    91 759 56 87 / 608 878 877

    contacto@magdentalmadrid.com

    Horario

    L-J | 9:30–20:30
    V | 9:30–19:30
    S-D | Cerrado

    MAG Clínica Estético Dental

    «El tratamiento más complejo no tiene por qué ser la mejor opción, sino el que más se adapte a las necesidades de nuestros pacientes».

    91 759 56 87 / 608 878 877

    contacto@magdentalmadrid.com

    Horario

    L-J | 9:30–20:30
    V | 9:30–19:30
    S-D | Cerrado