Sensibilidad dental: causas, tratamiento y cómo eliminarla definitivamente
¿Notas un dolor agudo o un “latigazo” al tomar algo frío o caliente? La sensibilidad dental es una de las molestias más comunes entre los adultos, y puede aparecer de repente o mantenerse de forma constante. En MAG Dental Madrid, en el barrio de Hortaleza, Madrid, explicamos de forma clara y profesional por qué ocurre, cómo tratarla y qué hacer para evitar que vuelva a aparecer.
¿Qué es la sensibilidad dental?
La sensibilidad dental es un dolor breve pero intenso que aparece cuando el esmalte que protege el diente se desgasta o las encías se retraen, dejando expuesta la dentina, la capa interna del diente. Esa exposición permite que estímulos como el frío, el calor, los dulces o incluso el aire lleguen al nervio, generando una sensación dolorosa.
Aunque suele ser temporal, si la sensibilidad dental es constante o empeora con el tiempo, puede indicar un problema más serio, como una caries o una lesión en la raíz dental.
Causas más comunes de la sensibilidad dental
La sensibilidad no aparece por azar. Conocer su origen es clave para tratarla correctamente. Estas son las causas más frecuentes:
1. Cepillado dental agresivo
Cepillarse con demasiada fuerza o con un cepillo de cerdas duras puede desgastar el esmalte y retraer las encías. Esto deja la dentina expuesta, provocando sensibilidad.
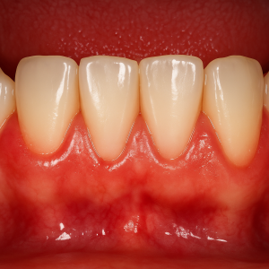
2. Recesión gingival
Cuando las encías se retraen (por enfermedad periodontal o mal cepillado), las raíces dentales quedan al descubierto y el diente se vuelve más sensible.
3. Bruxismo
Apretar o rechinar los dientes, especialmente durante la noche, genera microfisuras en el esmalte y favorece la sensibilidad dental constante.
4. Alimentación ácida
Según informa el Consejo de dentistas, el consumo habitual de bebidas carbonatadas, cítricos o vinagres puede erosionar el esmalte dental.
5. Tratamientos dentales recientes
Tras una limpieza profunda, blanqueamiento o empaste, es normal sentir sensibilidad dental de repente, que suele desaparecer en pocos días.
6. Caries o fisuras dentales
Las lesiones que afectan al esmalte dejan los túbulos dentinarios expuestos y pueden causar un dolor intenso por sensibilidad dental.
Sensibilidad dental en un solo diente
Cuando la sensibilidad dental aparece en un solo diente, normalmente indica un problema localizado, como una caries, una fisura o una restauración deteriorada. También puede deberse a una recesión gingival puntual. En estos casos, el dentista debe realizar una radiografía para confirmar la causa y aplicar el tratamiento adecuado.
Cómo quitar la sensibilidad dental
Eliminar la sensibilidad dental requiere un diagnóstico personalizado, pero existen tratamientos muy eficaces según la causa:
1. Pasta desensibilizante profesional
Usar una pasta específica con nitrato de potasio o fluoruro de estaño ayuda a bloquear los canales dentinarios y reducir la sensibilidad. Es el primer paso recomendado para la mayoría de los pacientes.
2. Aplicación de barnices o geles de flúor
En consulta, el dentista puede aplicar productos con alta concentración de flúor para reforzar el esmalte y proteger las zonas sensibles.
3. Selladores dentinarios
Si el daño es localizado, se colocan materiales que sellan los túbulos dentinarios y previenen el dolor.
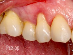
4. Tratamiento periodontal
En casos de encías retraídas, puede ser necesario un tratamiento de limpieza profunda o incluso injertos de encía.
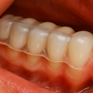
5. Tratamiento del bruxismo
Si la causa es el rechinar de dientes, se recomienda una férula de descarga nocturna para evitar el desgaste y la inflamación del nervio.
6. Restauración o endodoncia
Cuando la sensibilidad dental se convierte en dolor intenso y constante, el nervio puede estar afectado y requerir un tratamiento de conductos (endodoncia).
Cinfa Salud también habla sobre ello en este artículo.
Sensibilidad dental constante o de repente: ¿cuándo preocuparse?
Una sensibilidad dental de repente tras comer algo frío o ácido suele ser leve y pasajera.
En cambio, una sensibilidad dental constante o que aparece sin estímulo claro puede indicar un daño interno o infección. En esos casos, es fundamental acudir al dentista cuanto antes para evitar complicaciones.
Sensibilidad dental: causas y tratamiento profesional
En MAG Dental Madrid, evaluamos cada caso con una revisión clínica y radiográfica. El tratamiento se adapta a la causa:
| Causa principal | Tratamiento recomendado |
|---|---|
| Esmalte desgastado | Aplicación de flúor y selladores |
| Encías retraídas | Tratamiento periodontal o injerto |
| Bruxismo | Férula de descarga personalizada |
| Caries o fisura | Empaste o endodoncia |
| Hipersensibilidad general | Pasta desensibilizante y barniz |
El objetivo es no solo eliminar el dolor, sino prevenir que la sensibilidad dental reaparezca en el futuro.
¿La sensibilidad dental se quita?
Sí. En la mayoría de los casos, la sensibilidad dental se quita por completo con el tratamiento adecuado y buenos hábitos de higiene. La clave está en no ignorarla ni automedicarte: el dolor es una señal de que algo necesita atención.
Mejor producto para la sensibilidad dental
Los productos con compuestos como nitrato de potasio, fluoruro de estaño o arginina son los más eficaces.
Cada uno actúa de forma diferente, pero todos buscan proteger el nervio dental y sellar los túbulos expuestos.
-
Nitrato de potasio: calma el nervio del diente, aliviando el dolor de forma rápida.
-
Fluoruro de estaño: crea una capa protectora que bloquea los estímulos y fortalece el esmalte.
-
Arginina: favorece la reparación natural de la dentina y mantiene el equilibrio del pH oral.
Estos componentes, combinados con una buena técnica de cepillado y revisiones periódicas, logran resultados duraderos y previenen que la sensibilidad vuelva a aparecer.
Tu dentista puede recomendarte el mejor producto para la sensibilidad dental según tu caso, ya que algunos contienen concentraciones profesionales no disponibles en farmacias.
| Ingrediente | Acción principal | Beneficio para el paciente |
|---|---|---|
| Nitrato de potasio | Desensibiliza el nervio dental | Alivio rápido del dolor al frío o calor |
| Fluoruro de estaño | Sella los túbulos dentinarios | Refuerza el esmalte y protege el diente |
| Arginina | Estimula la remineralización natural | Previene la sensibilidad a largo plazo |
Prevención: cómo evitar que vuelva la sensibilidad dental
- Usa cepillo de cerdas suaves y técnica de cepillado correcta.
- Evita alimentos muy ácidos o dulces.
- No te cepilles justo después de comer.
- Acude a revisiones periódicas.
- Si aprietas los dientes, consulta sobre una férula de descarga.
Una prevención adecuada es la mejor inversión para mantener tus dientes fuertes y sin molestias.
Preguntas frecuentes sobre sensibilidad dental
¿Qué hacer cuando tienes sensibilidad en los dientes?
Evita los estímulos fríos o calientes, usa una pasta desensibilizante y pide cita con tu dentista para identificar la causa.
¿Cuáles son las causas de la sensibilidad dental?
Erosión del esmalte, retracción de encías, caries, bruxismo, o tratamientos dentales recientes son las causas más frecuentes.
¿Cómo saber si es dolor o sensibilidad dental?
El dolor por sensibilidad es breve y aparece ante estímulos específicos (frío, calor, dulce). Si el dolor es constante, puede tratarse de una caries o inflamación del nervio.
¿Cuánto tiempo dura la sensibilidad dental?
Depende de la causa. En casos leves, puede desaparecer en pocos días; en los crónicos, requiere tratamiento profesional.
¿Qué tomar para la sensibilidad dental?
No se recomienda medicación. Lo correcto es usar productos desensibilizantes y acudir al dentista para tratar el origen del problema.
¿A qué se debe la sensibilidad dental?
Principalmente al desgaste del esmalte o a la exposición de la raíz dental, que deja al nervio más vulnerable.
¿Cómo curar la sensibilidad dental?
Con el tratamiento adecuado: pasta desensibilizante, aplicación de flúor, férula, sellado o endodoncia, según el diagnóstico.
Conclusión
La sensibilidad dental no debe ignorarse. Aunque puede parecer algo menor, puede ser el primer aviso de un problema mayor. En MAG Dental Madrid, nuestros especialistas diagnostican la causa exacta y aplican tratamientos efectivos para eliminar el dolor y proteger tus dientes a largo plazo.
Solicita tu revisión sin compromiso y recupera la comodidad al comer, beber y sonreír.
- Sensibilidad dental: causas, tratamiento y cómo eliminarla definitivamente - 2 noviembre 2025
- Encías retraídas: causas, tratamientos y cómo regenerarlas - 30 octubre 2025
- Encías inflamadas: causas, síntomas y cómo tratarlas - 29 octubre 2025





