Prótesis dentales en Madrid (Prótesis Fijas y Removibles)
¿Buscas una clínica para prótesis dentales en Madrid? Clínica MAG Dental (Hortaleza, 28043) ofrece prótesis dentales fijas y removibles adaptadas a cada paciente. Con más de 30 años de trayectoria y certificaciones en portales como TopDoctors y Doctoralia, estamos ubicados cerca de IFEMA Madrid, Palacio de Hielo y Parque Juan Carlos I, garantizando tratamientos seguros, cercanos y accesibles para vecinos de Madrid y municipios cercanos.
Clínica dental para fabricación y colocación de prótesis dentales en Madrid
Garantía, experiencia y buen asesoramiento ¡1ª visita GRATIS!
Tipos de Prótesis Dentales en MAG Dental
Los sentirás como dientes propios
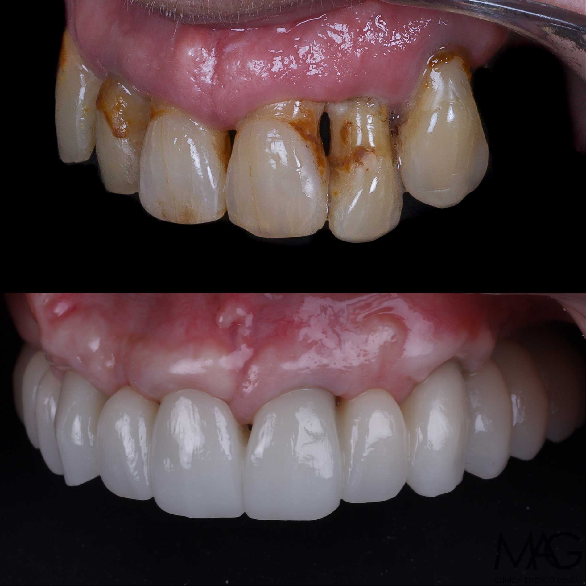
PRÓTESIS FIJA
Tratamientos / Prótesis / Prótesis fija
En la actualidad, lo más cómodo para los pacientes son las prótesis fijas, ya sean sobre dientes o sobre implantes. Este tipo de prótesis permiten restaurar con toda normalidad la función masticatoria y estética y el paciente llega a sentirlas como dientes propios.
Tratamientos / Prótesis / Prótesis removible
Son aquellas que el paciente puede retirar y volver a colocar por sí mismo. Normalmente se apoyan en la mucosa y en los dientes adyacentes, si los hubiera. En la actualidad, la técnica con implantes dentales ofrece una solución mucho más cómoda con prótesis fijas, siempre que las circunstancias lo permitan.
Vuelve a sonreír
PRÓTESIS REMOVIBLE
¿Qué es una prótesis dental?
En Clínica MAG Dental, entendemos lo importante que es recuperar la sonrisa después de perder uno o varios dientes. Una prótesis dental es un dispositivo diseñado a medida para sustituir las piezas ausentes, devolviendo no solo la estética, sino también funciones básicas como masticar con comodidad, hablar con claridad y mantener el soporte de la estructura facial.
Más que una solución estética, las prótesis dentales permiten recuperar calidad de vida, aportando seguridad al sonreír y la tranquilidad de contar con dientes que se ven y sienten naturales. Existen diferentes opciones según las necesidades de cada paciente, principalmente prótesis fijas y prótesis removibles, que en MAG Dental adaptamos de forma personalizada para garantizar resultados cómodos, seguros y duraderos.
Prótesis fija o removible: ¿cuál elegir?
La elección entre una prótesis dental fija o removible depende del estado de tus encías y hueso, tus preferencias y tu presupuesto. En Clínica MAG Dental (Hortaleza, Madrid) realizamos una evaluación completa para recomendarte la mejor opción.
Las prótesis fijas sobre implantes suelen ofrecer mayor estabilidad, estética y comodidad a largo plazo, además de ayudar a conservar el hueso. Cuando no hay suficiente hueso o el paciente prefiere otra alternativa, una prótesis removible bien ajustada puede ser una solución eficaz y más económica.
En nuestra clínica te asesoramos de forma personalizada, explicando ventajas y diferencias, y ofrecemos financiación hasta 48 meses sin intereses para que nadie renuncie a recuperar su sonrisa. Nuestro objetivo es que vuelvas a masticar, hablar y sonreír con total confianza, con la prótesis dental que mejor se adapte a ti.
Precio de las prótesis dentales en Madrid
En Clínica MAG Dental, ofrecemos soluciones adaptadas a cada paciente. Estos son rangos de precios orientativos:
| Tipo de prótesis | Precio aproximado | Descripción breve |
|---|---|---|
| Prótesis removible parcial o completa | Desde ~1.000 € | Económica y eficaz para reponer varios dientes o arcadas completas. |
| Prótesis fija sobre implante (corona unitaria) | 1.200 – 1.500 € por diente | Incluye implante de titanio y corona fija en porcelana o zirconio. |
| Prótesis fija tipo All-on-4 (arcada completa) | 10.000 – 12.000 € | Una arcada fija completa sobre 4 implantes con carga inmediata. |
| Prótesis fija tipo All-on-6 (u All-on-8) | 12.000 – 15.000 € | Máxima estabilidad para arcadas completas, con 6 u más implantes. |
Los precios pueden variar según cada caso. Para conocer tu presupuesto exacto, contáctanos y reserva tu primera cita gratuita en MAG Dental. Además, como comentamos, disponemos de financiación 0% interés hasta en 48 meses, para que puedas acceder al tratamiento protésico que necesitas sin preocuparte por el pago inmediato. Tu salud bucodental es una inversión en bienestar, y te ayudaremos a que sea asequible.
¿Por qué elegir MAG Dental para tu prótesis dental en Madrid?
En Clínica MAG Dental (Hortaleza, Madrid) somos especialistas en prótesis dentales fijas y removibles, con más de 30 años de experiencia devolviendo sonrisas. Contamos con un equipo altamente cualificado y tecnología de vanguardia como planificación digital 3D, escáner intraoral y cirugía guiada, lo que nos permite ofrecer tratamientos precisos y estéticos, incluso en casos complejos.
Trabajamos con materiales de primera calidad y ofrecemos garantía de por vida en implantes y prótesis, sujeta a revisiones periódicas. Nuestros pacientes nos valoran en TopDoctors y Doctoralia por la cercanía, honestidad y excelentes resultados.
En nuestras modernas instalaciones de Hortaleza disponemos de quirófano propio, 6 gabinetes equipados y la posibilidad de sedación consciente para tu comodidad. Además, ofrecemos primera visita gratuita, precios transparentes, financiación hasta 48 meses y servicio de urgencias dentales.
En MAG Dental cuidamos cada detalle para que recuperes tu sonrisa con una prótesis cómoda, funcional y natural.
Reserva tu primera consulta gratuita con nosotros hoy mismo!
Testimonios
Los pacientes en Madrid confían en MAG Dental por nuestro trato cercano y nuestras avanzadas técnicas de anestesia y sedación, que permiten realizar cualquier tratamiento dental sin dolor, sin miedo y con total seguridad.
¿DÓNDE ENCONTRARNOS?
CONTACTA CON NOSOTROS
¡1ª Visita sin coste!
PIDE YA TU CITA ONLINE
¿Tienes alguna pregunta o necesitas más información? Nuestro equipo estará encantado de ayudarte y solucionar tus dudas. Ponte en contacto con nosotros a través de este formulario, nuestra dirección de e-mail o por teléfono ¡También atendemos WhatsApp!


