Ortodoncia Madrid | Más de 30 años de experiencia
¿Quieres una sonrisa alineada y saludable? En Clínica MAG Dental ofrecemos ortodoncia en Madrid adaptada a cada paciente: desde brackets tradicionales hasta ortodoncia invisible de última generación. Nuestro dentista ortodoncia en Hortaleza estudia tu caso y diseña un plan cómodo, eficaz y sin sorpresas en el precio ortodoncia.
Ortodoncistas especialistas en Madrid ¡1ª Visita GRATIS!
¡Porque te mereces una sonrisa sana y bonita!
En Clínica MAG Dental trabajamos cada día para que disfrutes de una sonrisa alineada y llena de confianza. Ofrecemos tratamientos de ortodoncia en Madrid, desde brackets metálicos y estéticos hasta la más avanzada ortodoncia invisible con alineadores. Llámanos hoy al +34 917 595 687 / +34 608 878 877 o reserva tu primera visita gratis y da el primer paso hacia tu nueva sonrisa.
¿Qué es la ortodoncia?
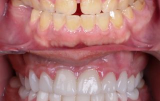
La ortodoncia es la especialidad odontológica que corrige la posición de los dientes y la mordida. Si te preguntas “qué es la ortodoncia”, la respuesta es simple: un tratamiento que alinea tus dientes para mejorar la salud oral, la función y la estética.
- Función: mejora la masticación y la pronunciación.
- Salud: reduce el riesgo de caries, enfermedades de encías y bruxismo.
- Estética: aporta armonía facial y más confianza al sonreír.
En resumen, la ortodoncia es salud, función y estética trabajando juntas.

¿Cuándo se recomienda la ortodoncia?
Un dentista ortodoncia puede recomendar tratamiento en casos como:
- Apiñamiento (dientes montados o girados).
- Diastemas (espacios grandes entre dientes).
- Problemas de mordida: sobremordida, mordida cruzada o abierta.
- Desalineación mandibular o desviación de línea media.
- Problemas funcionales: dificultad para masticar, hablar o respirar por la boca.
- Desgaste dental o sensibilidad por mala oclusión.
Señales comunes: morderse el carrillo, rechinar los dientes (bruxismo), tensión mandibular o inseguridad al sonreír en fotos.
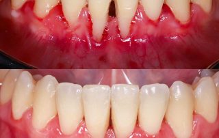
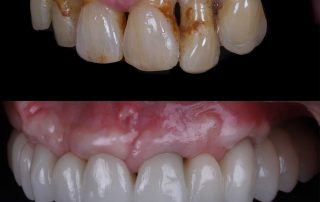
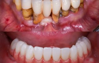
¿Qué puede ocurrir si no soluciono los problemas de ortodoncia?
No tratar los problemas de alineación dental puede llevar a:
- Mayor desgaste de los dientes.
- Problemas en la articulación temporomandibular (ATM).
- Dificultades para masticar y hablar correctamente.
- Mayor riesgo de caries y enfermedades periodontales.
- Impacto negativo en la autoestima y confianza.

¿Cuánto tiempo se tarda en finalizar el tratamiento de ortodoncia?
La duración depende de cada caso y del sistema elegido:
- Casos leves: 12–18 meses
- Casos moderados: 18–24 meses
- Casos complejos: 24–36 meses
En MAG Dental Madrid realizamos un estudio digital personalizado para darte un tiempo estimado realista. Con ortodoncia invisible, los tiempos suelen ser similares a los brackets, pero con mayor comodidad y precisión digital.
Ortodoncia en Madrid precios 2025
Creemos en la transparencia del precio ortodoncia. Estas son nuestras opciones:
* El plan incluye estudio diagnóstico, plan a medida y seguimiento clínico. Extracciones, periodoncia, microtornillos, refinamientos adicionales o retenedores premium pueden presupuestarse aparte.
| Tratamiento | Desde | Ideal para | Incluye* |
|---|---|---|---|
| Brackets metálicos | 2.000€ | Máximo control y eficacia | Estudio, colocación, revisiones periódicas |
| Brackets estéticos | 2.500€ | Discreción y alto rendimiento | Estudio, colocación, controles |
| Ortodoncia invisible | 3.000€ | Confort, estética, removible | Estudio digital, alineadores, ajustes |
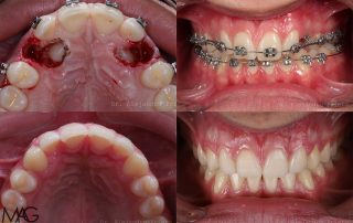
TIPOS DE ORTODONCIA
Nuestro equipo de expertos en ortodoncia en Madrid te aconsejará sobre qué método necesitas para conseguir lucir una sonrisa sana y bonita. ¡Pide tu cita online y ven a visitarnos en nuestra clínica dental en Madrid, te atenderemos encantados!
Nuestro proceso paso a paso
- Reserva tu visita — 1ª consulta gratis: escuchamos tus objetivos y revisamos tu salud oral.
- Estudio digital — Fotografías, radiografías y escáner 3D; podemos mostrarte un preview con Diseño Digital de Sonrisa (DSD).
- Plan personalizado — Te explicamos opciones (brackets/ortodoncia invisible), tiempos y precio ortodoncia cerrado.
- Tratamiento activo — Colocación de brackets o entrega de alineadores, con revisiones periódicas.
- Retención y estabilidad — Retenedores y controles para mantener el resultado a largo plazo.
¿Quién realizará tu ortodoncia?
Los tratamientos de ortodoncia en Madrid en Clínica MAG Dental están dirigidos por la Dra. Mar García Gómez, especialista con gran experiencia en casos sencillos y complejos. Su enfoque cercano y personalizado permite a cada paciente comprender claramente qué es la ortodoncia y cómo puede mejorar tanto la función como la estética de su sonrisa.
Reconocida en TopDoctors y Doctoralia, la Dra. García Gómez aplica protocolos seguros y tecnología avanzada en cada visita. Gracias a su dedicación, nuestros pacientes confían en ella como referente de ortodoncia Madrid, ofreciendo desde brackets tradicionales hasta la más innovadora ortodoncia invisible.
Ortodoncista Mar García Gómez
Cuidados y consejos prácticos
-
Molestias iniciales: normales 48–72h; la cera ortodóncica y analgésicos suaves ayudan.
-
Alimentación con brackets: evita alimentos duros o pegajosos; corta frutas y pan en trozos.
-
Higiene: cepíllate tras cada comida, usa cepillos interproximales o irrigador.
-
Alineadores: guárdalos en su estuche; límpialos con jabón neutro, nunca agua caliente.
-
Retención: usa tus retenedores según indicaciones para conservar la sonrisa.
Opiniones de nuestros pacientes sobre la ortodoncia
Nuestros pacientes destacan la atención cercana, los resultados efectivos y la comodidad de nuestros tratamientos de ortodoncia.
Preguntas frecuentes de nuestros pacientes sobre ortodoncia
¿DÓNDE ENCONTRARNOS?
CONTACTA CON NOSOTROS
¡1ª Visita sin coste!
PIDE YA TU CITA ONLINE
¿Tienes alguna pregunta o necesitas más información? Nuestro equipo estará encantado de ayudarte y solucionar tus dudas. Ponte en contacto con nosotros a través de este formulario, nuestra dirección de e-mail o por teléfono ¡También atendemos WhatsApp!

