Injerto de encía: precio, recuperación y evolución paso a paso
El injerto de encía es un tratamiento de cirugía periodontal que permite recuperar el tejido perdido alrededor de los dientes y proteger las raíces expuestas. En MAG Dental Madrid, en el barrio de Hortaleza, realizamos este procedimiento de forma segura, estética y mínimamente invasiva.
Si notas que tus encías se han retraído, dejando parte del diente al descubierto o aumentando la sensibilidad dental, el injerto puede ser la solución definitiva.
¿Qué es un injerto de encía?
Un injerto de encía consiste en trasladar una pequeña porción de tejido —normalmente del paladar o de una zona cercana— a la parte donde la encía se ha retraído.
Su objetivo es cubrir la raíz expuesta, fortalecer la encía y prevenir la pérdida de hueso.
En algunos casos, se utiliza un injerto de encía artificial, fabricado con materiales biocompatibles que sustituyen al tejido propio. Esta opción es ideal cuando el paciente no puede aportar suficiente tejido propio.
¿Cuándo procede?
Este procedimiento se recomienda cuando existe recesión gingival, una pérdida progresiva del tejido que cubre la raíz dental.
Las principales causas son:
- Cepillado dental agresivo o con cepillo duro
 - Enfermedad periodontal (gingivitis o periodontitis)
 - Ortodoncia previa con retracción del tejido
 - Bruxismo o presión excesiva sobre los dientes
 - Factores genéticos
 
El injerto de encía no solo mejora la estética de la sonrisa, sino que protege los dientes contra la sensibilidad y futuras pérdidas de soporte. El Consejo de Dentistas alerta de la importancia de la salud de las encías en la salud general.
Tipos de injerto de encía
Existen diferentes técnicas según la situación clínica y los objetivos estéticos:
🔹 Injerto conectivo de encía
Se extrae una fina capa de tejido del paladar (conectivo subepitelial) y se coloca en la zona retraída.
Es la técnica más común por su excelente integración y resultados naturales.
🔹 Injerto libre de encía
Consiste en colocar directamente un fragmento superficial de encía palatina.
Se usa sobre todo para aumentar el grosor del tejido o en zonas sin suficiente encía queratinizada.
🔹 Injerto de encía artificial
Fabricado con materiales de colágeno o matrices biológicas. Reduce el tiempo quirúrgico y favorece una recuperación más cómoda y rápida.
¿Es muy doloroso?
Una de las preguntas más frecuentes es si el injerto de encía es muy doloroso.
La respuesta es no, gracias a la anestesia local y a las técnicas microquirúrgicas actuales.
Durante la intervención no se siente dolor, y en los días posteriores puede aparecer una ligera molestia o sensación de tirantez, fácilmente controlable con analgésicos suaves.
El equipo de MAG Dental Madrid ofrece siempre un tratamiento personalizado para garantizar una experiencia cómoda y sin ansiedad.
Injerto de encía: precio en España
El precio varía en función de la técnica, el número de piezas tratadas y si se utiliza tejido propio o injerto artificial.
De media, tiene un precio entre 250 € y 600 € por diente.
| Tipo de injerto | Precio aproximado | 
|---|---|
| Injerto conectivo de encía | 300 €–600 € | 
| Injerto libre de encía | 250 €–500 € | 
| Injerto de encía artificial | 400 €–700 € | 
(Los precios pueden variar según el caso y el plan de tratamiento personalizado.)
¿Hay baja laboral después de un injerto de encía?
Por lo general, no es necesaria una baja laboral. El paciente puede reincorporarse a su actividad habitual en 24 – 48 horas, siempre que no implique esfuerzo físico intenso.
Se recomienda evitar fumar, hacer ejercicio o manipular la zona durante los primeros días para favorecer una buena cicatrización.
Evolución y recuperación
La evolución de un injerto de encía es progresiva y depende del tipo de tejido utilizado.
Durante los primeros días, puede notarse cierta inflamación y cambio de color en la zona, lo cual es normal.
A los 5 días, la mayoría de pacientes ya pueden comer con normalidad y retomar su rutina. La recuperación completa suele producirse entre 3 y 6 semanas, cuando el nuevo tejido se ha integrado totalmente.
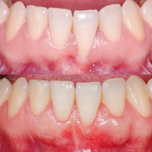
Injerto de encía antes y después
Los resultados del son visibles tanto en salud como en estética. Antes, el diente aparece alargado, con raíz expuesta y encía fina. Después del injerto, la línea gingival se restablece, la encía luce más gruesa y se reduce la sensibilidad.
En MAG Dental Madrid documentamos cada caso para mostrar al paciente su evolución y resultado final.
Opiniones sobre el injerto de encía
Las opiniones suelen ser muy positivas, especialmente cuando se realiza con técnica microquirúrgica y materiales de calidad.
La mayoría de pacientes destacan:
- Mejora estética visible
 - Desaparición de la sensibilidad
 - Cicatrización rápida
 - Molestias mínimas
 
Un injerto bien realizado tiene una tasa de éxito superior al 95 %.
Complicaciones y casos de injerto de encía fallido
Aunque poco frecuentes, pueden presentarse complicaciones, como inflamación excesiva, infección o falta de integración del tejido.
Un injerto fallido puede requerir un nuevo procedimiento, aunque suele solucionarse fácilmente.
La clave está en la correcta higiene y el seguimiento postoperatorio. En MAG Dental Madrid, acompañamos al paciente en todo el proceso hasta la recuperación total.
Evolución de un injerto de encía: día a día
| Día | Cambios esperables | 
|---|---|
| Día 1–3 | Ligera inflamación y molestias leves | 
| Día 4–5 | Disminuye el dolor, inicio de la integración | 
| Semana 2 | Encía más estable y color normalizado | 
| Semana 4–6 | Cicatrización completa y resultado final | 
La evolución depende de los cuidados: higiene suave, dieta blanda y evitar fumar.
Preguntas frecuentes
¿Cuánto tardas en recuperarte de un injerto de encía?
La recuperación completa puede tardar entre 3 y 6 semanas, aunque las molestias desaparecen en pocos días.
¿Cuánto puede costar un injerto de encías?
El precio medio en España varía entre 250 € y 600 € por diente, según la técnica utilizada.
¿Cuánto tiempo tarda en cicatrizar un injerto de encía?
En la mayoría de los casos, la encía cicatriza totalmente en unas 4 – 6 semanas.
¿Cuáles son los riesgos de un injerto de encía?
Los riesgos son mínimos: infección, inflamación o desprendimiento parcial del injerto. Con una correcta higiene y seguimiento, el éxito supera el 95 %.
¿Cuándo procede un injerto de encía?
Se indica cuando hay retracción gingival, exposición radicular o encías finas que comprometen la estética y la salud periodontal.
Conclusión
El injerto de encía es una técnica eficaz para recuperar la estética y la salud de las encías.En MAG Dental Madrid, evaluamos cada caso con precisión y utilizamos técnicas avanzadas para garantizar resultados naturales, cómodos y duraderos.
Pide tu valoración sin coste y recupera la salud de tus encías con la máxima confianza.
- Injerto de encía: precio, recuperación y evolución paso a paso - 3 noviembre 2025
 - Sensibilidad dental: causas, tratamiento y cómo eliminarla definitivamente - 2 noviembre 2025
 - Encías retraídas: causas, tratamientos y cómo regenerarlas - 30 octubre 2025
 
			
					
									



