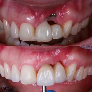
Hueco entre implante y encía: causas y soluciones
El hueco entre el implante y la encía es una duda que a veces surge tras la colocación de un implante dental. En MAG Dental Madrid, clínica de referencia en el barrio de Hortaleza de Madrid, explicamos por qué aparece, cuándo es normal y qué hacer si notas un espacio o hundimiento alrededor de tu implante.
Aunque en algunos casos este hueco forma parte del proceso natural de cicatrización, en otros puede indicar un problema de adaptación del tejido, de la prótesis o de la colocación que requiere atención profesional.
¿Qué es el hueco entre el implante y la encía?
El hueco entre implante y encía se refiere a un pequeño espacio visible o palpable entre la corona (la parte visible del diente) y el tejido gingival que la rodea.
Este espacio puede aparecer justo después de colocar el implante o semanas más tarde, una vez que la encía empieza a remodelarse.
Es importante diferenciar entre:
- Un hueco leve y temporal, que suele cerrarse solo durante la cicatrización.
- Un hueco grande entre implante y encía, que puede indicar pérdida de volumen de encía o retracción gingival.
¿Por qué se produce un hueco entre implante y encía?
Las causas pueden variar según el momento y la técnica utilizada. Las más frecuentes son:
- Retracción natural de la encía tras la cirugía
Después de colocar un implante, el tejido gingival puede retraerse ligeramente al cicatrizar, dejando un pequeño espacio visible.
Este proceso es normal y suele estabilizarse en pocas semanas. - Pérdida de grosor o altura de encía
Algunos pacientes tienen encías más finas o sensibles, lo que puede afectar su adaptación alrededor del implante. - Implante o corona mal ajustados
Si la prótesis no se adapta perfectamente al pilar o el implante está ligeramente inclinado, puede formarse un hueco visible entre la corona y la encía. - Mala higiene o inflamación periimplantaria
La acumulación de placa puede inflamar el tejido y provocar retracción.
En casos más avanzados, puede derivar en mucositis o periimplantitis. - Tiempo de cicatrización insuficiente
Si el implante se carga antes de que el tejido haya madurado correctamente, la encía puede retraerse dejando un pequeño hueco.
¿Es normal tener un espacio entre el implante y la encía?
Un pequeño hueco entre el implante y la encía puede ser normal durante la fase inicial de cicatrización, especialmente en las primeras semanas tras colocar el implante. Durante este tiempo, la encía se está adaptando al nuevo contorno del pilar y suele cerrarse de forma natural conforme el tejido madura.
Sin embargo, este hueco solo es normal si es leve y temporal. Si después de 4 a 6 semanas el espacio no disminuye o incluso aumenta, es importante acudir al dentista cuanto antes.
Un hueco que persiste o se agranda puede indicar una recesión gingival o una falta de grosor de encía, y en esos casos el especialista deberá valorar la necesidad de un injerto de encía o un retoque estético del tejido blando para sellar correctamente la unión entre el implante y la encía.
En MAG Dental Madrid, somos expertos en solucionar problemas de encía tanto por retracción natural del tejido como por complicaciones posteriores a una cirugía de implantes.
Aplicamos técnicas avanzadas de injerto de encía y regeneración de tejidos blandos que permiten cerrar el hueco entre el implante y la encía, recuperar la estética natural y reforzar la protección del implante frente a infecciones o inflamaciones.
Nuestro enfoque combina precisión quirúrgica, materiales biocompatibles y una planificación personalizada para lograr un resultado estable, funcional y estéticamente impecable.
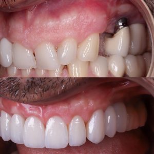
Fotos de implantes dentales mal colocados
En algunos casos, el hueco entre implante y encía se debe a una posición inadecuada del implante o de la corona.
Esto puede generar un resultado poco estético o dificultar la higiene.
En MAG Dental Madrid, contamos con escáner intraoral y radiografía 3D para identificar si el problema está en la encía, el hueso o el ajuste protésico.
Hueco entre corona y encía: ¿es lo mismo?
No exactamente. El hueco entre corona y encía puede aparecer tanto en dientes naturales como en implantes, y suele deberse a una recesión gingival o a una corona mal adaptada.
En los implantes, este hueco requiere especial atención porque puede comprometer la estética y favorecer la acumulación de bacterias.
¿Crece la encía después de un implante?
La Academia Americana de Periodontología, confirma que la encía no crece de forma natural una vez retraída, pero sí puede regenerarse con tratamiento. En casos donde se ha perdido tejido, el especialista puede realizar un injerto de encía o una reconstrucción del perfil gingival para cerrar el hueco y devolver la estética natural.
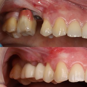
Bulto o agujero después de un implante dental
Después de la cirugía, puede aparecer un bulto en la encía por inflamación o por el proceso de cicatrización.
También puede verse un agujero en el implante dental si la encía aún no se ha cerrado del todo. Esto suele ser temporal.
Sin embargo, si el bulto persiste o el agujero no se cierra, es fundamental revisarlo para descartar infección o pérdida de soporte y solucionarlo cuanto antes.
Cómo tapar un hueco entre implante y encía
Existen distintas formas de tapar un hueco entre el implante y la encía, según su origen y tamaño:
| Causa del hueco | Solución recomendada |
|---|---|
| Retracción leve por cicatrización | Esperar y controlar evolución |
| Pérdida de encía | Injerto o regeneración de tejido |
| Desajuste protésico | Reajuste o sustitución de la corona |
| Inflamación o infección | Tratamiento periodontal |
| Hueco grande entre implante y encía | Reconstrucción estética con injerto o nuevo perfil de emergencia |
En MAG Dental Madrid, utilizamos técnicas microquirúrgicas y materiales biocompatibles para lograr un sellado perfecto entre implante y encía.
Tiempo para tapar el hueco o completar la integración
Según la Federación Europea de Periodontología, el tiempo medio para que la encía se adapte completamente al implante oscila entre 4 y 8 semanas, dependiendo del tipo de tejido y la técnica empleada.
Si persiste el hueco después de este periodo, puede requerirse una revisión o intervención complementaria.
Preguntas frecuentes sobre el hueco entre implante y encía
¿Qué hacer si se ve el tornillo del implante?
Si se ve el tornillo del implante, puede deberse a una pérdida de encía o hueso que ha dejado expuesta la parte metálica.
No es normal y debe tratarse lo antes posible.
En la mayoría de los casos, se corrige con un injerto de encía o hueso para cubrir el área y proteger el implante.
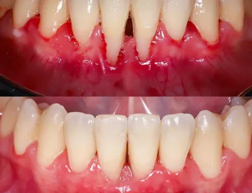
Cómo cerrar un agujero en la encía
Si ha quedado un agujero en la encía después de un implante o extracción, este puede cerrarse naturalmente en unas semanas. Cuando no ocurre, se realiza un relleno con biomaterial o injerto de tejido para favorecer la regeneración y evitar infecciones.
No se me ve el tornillo del implante dental, ¿es bueno?
Sí, no ver el tornillo del implante dental es lo ideal.
Significa que el tejido gingival está sano, bien sellado y cubre correctamente el implante, evitando filtraciones y mejorando la estética.
¿Qué causa el hueco entre un implante y la encía?
Puede deberse a la retracción natural del tejido, pérdida de encía o un desajuste entre la corona y el implante.
¿Existe un espacio entre el implante y la encía?
Sí, pero en la mayoría de los casos es pequeño y temporal. Si aumenta o retiene alimentos, debe revisarse.
¿Por qué se ve el tornillo de mi implante en la encía?
Porque la encía o el hueso se han retraído, dejando parte del implante expuesto. Requiere tratamiento para cubrirlo.
¿Qué es el hueco que tengo entre mi diente y la encía?
Es un espacio donde la encía se ha separado del diente o del implante. Puede deberse a retracción o inflamación.
¿Cuánto tiempo tarda en cerrarse un hueco en la encía?
En casos leves, tras la colocación de implantes en unas 2–4 semanas. Si el hueco es grande, puede necesitar regeneración gingival.
Conclusión
El hueco entre el implante y la encía no siempre indica un problema, pero sí merece atención.
En MAG Dental Madrid, evaluamos cada caso con precisión, controlamos la cicatrización y aplicamos técnicas regenerativas para mantener el implante estable, funcional y estético a largo plazo.
Pide tu revisión sin compromiso y asegúrate de que tu implante cicatrice correctamente.
- Encía inflamada en el embarazo: causas, síntomas y cómo cuidarlas - 14 noviembre 2025
- Encías negras: causas, tratamiento y cómo aclararlas - 7 noviembre 2025
- Hueco entre implante y encía: causas y soluciones - 4 noviembre 2025


