Enfermedades de las encías: causas, síntomas y tratamientos
Las enfermedades de las encías afectan a millones de personas y son una de las principales causas de pérdida dental. Si notas encías inflamadas, sangrado de encías, dolor en las encías de abajo o un bulto en la encía sin dolor, es importante acudir a un especialista cuanto antes.
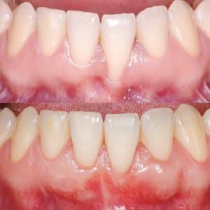
En MAG Dental Madrid, tratamos desde la gingivitis hasta la periodontitis avanzada, aplicando técnicas regenerativas, injerto de encía y soluciones con gel para regenerar las encías.
¿Por qué se inflaman las encías?
Saber por qué se inflaman las encías es clave para prevenir problemas mayores. La inflamación de encías suele deberse a una acumulación de placa bacteriana, al cepillado inadecuado o a enfermedades sistémicas.
Otras causas frecuentes incluyen cambios hormonales, déficit de vitaminas o el uso de ciertos medicamentos.
Los síntomas iniciales pueden incluir dolor de encías, encías sangrantes y sensación de presión. En algunos casos, aparece una infección en la encía o un flemón en la encía.
Si te preocupa cómo bajar la inflamación de las encías rápidamente, evita remedios caseros agresivos y acude a revisión. En MAG Dental aplicamos tratamientos gingivales indoloros y efectivos.
Las 5 enfermedades más comunes de las encías
Existen muchas enfermedades gingivales, pero estas cinco son las más frecuentes y deben tratarse cuanto antes.
1. Gingivitis
La gingivitis es la forma más leve de enfermedad gingival.
Causa encías inflamadas, encías sangrantes y a veces llaguitas en la encía.
Se trata con limpieza profesional, mejora de la higiene y colutorios como Bexident Encías, Vitis Encías o Parodontax Encías.
2. Periodontitis
Una infección en las encías más profunda que puede destruir el hueso.
Produce recesión o retracción de encías, movilidad dental y dolor en las encías.
En MAG Dental la tratamos con curetajes, láser y regeneración ósea.
3. Recesión gingival
Cuando la encía retraída deja parte del diente expuesto, puede aparecer sensibilidad o incluso dolor de encías.
Tratamiento: injerto de encía o gel para regenerar las encías, según el caso.

4. Absceso o flemón en la encía
Es una infección localizada, a veces con pus o bulto en la encía sin dolor.
Se trata con drenaje y antibiótico para infección de muelas y encías.
5. Cáncer de encías
Aunque poco frecuente, el cáncer de encías puede comenzar como una llaga en la encía o una encía blanca o negra que no cicatriza.
Detectarlo a tiempo es vital. En MAG Dental realizamos diagnóstico precoz y biopsias cuando es necesario.
| Tipo de enfermedad | Descripción | Síntomas principales | Causas más comunes | Tratamiento recomendado | Nivel de gravedad |
|---|---|---|---|---|---|
| Gingivitis | Inflamación superficial de la encía sin pérdida de hueso. Es reversible si se trata a tiempo. | Encías rojas, inflamadas y que sangran al cepillarse. | Placa bacteriana, mala higiene oral, tabaco, cambios hormonales. | Limpieza profesional, colutorios antisépticos, mejora de la higiene bucal. | 🟢 Leve |
| Periodontitis | Infección avanzada que afecta el hueso y los tejidos de soporte dental. | Encías retraídas, mal aliento, movilidad dental, sangrado persistente. | Gingivitis no tratada, genética, tabaquismo, enfermedades sistémicas. | Curetaje, cirugía periodontal, regeneración ósea o gingival, láser. | 🔴 Grave |
| Recesión gingival | Retracción del tejido gingival que deja al descubierto la raíz dental. | Dientes más largos, sensibilidad al frío/calor, inflamación localizada. | Cepillado agresivo, ortodoncia, periodontitis, bruxismo. | Injerto de encía, geles regeneradores, ajuste de técnica de cepillado. | 🟠 Moderada |
| Absceso o flemón en la encía | Acumulación de pus por infección localizada. | Dolor intenso, inflamación, bulto en la encía, mal sabor o pus. | Caries profunda, infección dental o gingival, restos de comida. | Drenaje, antibióticos, limpieza profunda y control del foco infeccioso. | 🔴 Grave |
| Hiperplasia gingival | Crecimiento excesivo del tejido de la encía. | Encías agrandadas, dificultad al cepillarse o masticar. | Medicamentos, ortodoncia o inflamación crónica. | Cirugía gingival o gingivectomía, control de placa y revisión médica. | 🟠 Moderada |
| Cáncer de encías | Lesión maligna que afecta el tejido gingival. | Úlcera que no cicatriza, sangrado espontáneo, bulto o mancha blanca/roja. | Tabaquismo, alcohol, infección por VPH, antecedentes familiares. | Diagnóstico precoz, biopsia, cirugía y tratamiento oncológico. | 🔴 Muy grave |
Síntomas que no debes ignorar
- Encías inflamadas o dolor en las encías de abajo.
- Sangrado de encías o sangrado espontáneo al cepillarte.
- Encías retraídas o encías negras.
- Flemón en encía, muela rota al ras de la encía o llagas en la encía.
- Dolor de encías persistente o sensación de presión.
Las encías sanas son firmes, de color rosado y no sangran. Si observas encías blancas, hinchadas o llenas de bultos, pide una revisión.

Tratamientos profesionales en MAG Dental Madrid
En nuestra clínica tratamos todas las enfermedades de las encías con tecnología avanzada:
- Limpieza profesional y raspado radicular.
- Curetaje y desinfección profunda para eliminar bacterias.
- Injerto de encía en casos de retracción de encías.
- Aplicación de gel para regenerar las encías.
- Uso de antibióticos para infección de muelas y encías solo cuando es necesario.
- Cirugías mínimamente invasivas con láser gingival.
Además, indicamos productos de apoyo como Parodontax Encías, Bexident Encías y Vitis Encías, ideales para mantener la salud gingival tras el tratamiento.
Remedios y prevención de las enfermedades de las encías
Para evitar la inflamación de encías y mantener tus encías sanas, sigue estas pautas diarias:
- Cepíllate con un cepillo dental suave.
- Usa hilo dental y colutorio sin alcohol.
- No fumes ni consumas alimentos muy duros.
- Si tienes perlas en encías de bebés saliendo, mantén la higiene sin frotar.
- En caso de dolor de encías, aplica gel calmante y consulta al especialista.
En MAG Dental te enseñamos cómo desinflamar las encías al instante y cómo bajar la inflamación de las encías rápidamente de manera segura y duradera.
Preguntas frecuentes sobre las enfermedades de las encías
¿Cómo saber si tengo infección en las encías?
Si notas dolor, inflamación, mal aliento o pus al presionar la encía, puede haber una infección. En MAG Dental Madrid realizamos diagnóstico preciso y tratamiento inmediato.
¿Qué enfermedades de las encías hay?
Las más comunes son gingivitis, periodontitis, recesión gingival, flemón y cáncer de encías.
¿Qué hacer para curar las encías?
Acude al dentista, realiza limpiezas profesionales y usa colutorios específicos. En casos avanzados puede requerirse injerto de encía o regeneración gingival.
¿Cuáles son los 3 tipos de encía?
Encía libre, encía adherida y mucosa alveolar. Cada una protege diferentes zonas de la boca.
Me sangran las encías, ¿qué debo hacer?
El sangrado de encías indica enfermedad. No lo ignores: puede derivar en inflamación de encías o pérdida dental.
¿Qué es bueno para el dolor de encías?
Evita comidas duras, usa gel calmante para encías y realiza enjuagues con agua tibia y sal. Si el dolor en las encías persiste, pide cita.
Me aprieto la encía y me sale pus, ¿qué significa?
Es un signo de infección activa o absceso gingival. No lo manipules: se necesita drenaje profesional.
¿Cómo desinflamar las encías?
Usa cepillo suave, evita tabaco y alimentos irritantes. El gel para regenerar las encías ayuda a reducir la inflamación y mejorar la curación.
¿Por qué se inflaman las encías?
Por acumulación de placa, estrés, tabaco o cambios hormonales. Las encías inflamadas deben revisarse cuanto antes.
¿Cómo regenerar las encías?
Con injerto de encía, biomateriales o láser regenerativo. En MAG Dental usamos tecnología avanzada para resultados duraderos.
Conclusión
Las enfermedades de las encías pueden parecer leves, pero con el tiempo afectan la estructura dental y la salud general.
En MAG Dental Madrid, ofrecemos diagnóstico, prevención y tratamientos avanzados para mantener tus encías sanas, sin sangrado ni inflamación.
Estamos en Hortaleza, Madrid.
Primera visita y estudio personalizado sin coste.
Confía en especialistas en periodoncia y regeneración gingival.
- Encía inflamada en el embarazo: causas, síntomas y cómo cuidarlas - 14 noviembre 2025
- Encías negras: causas, tratamiento y cómo aclararlas - 7 noviembre 2025
- Hueco entre implante y encía: causas y soluciones - 4 noviembre 2025