Encías inflamadas: causas, síntomas y cómo tratarlas
Las encías inflamadas son uno de los motivos de consulta más frecuentes en odontología. Aunque al principio puedan parecer una simple molestia, si no se tratan a tiempo pueden derivar en enfermedades más graves como la gingivitis o la periodontitis.
En MAG Dental Madrid, en el barrio de Hortaleza, somos especialistas en salud gingival y ofrecemos tratamientos avanzados para recuperar la salud y estética de tus encías.
¿Por qué se inflaman las encías?
La inflamación de encías suele deberse a la acumulación de placa bacteriana en la línea gingival. Esta placa se forma cuando los restos de alimentos no se eliminan correctamente al cepillarse, lo que provoca irritación y sangrado.
Principales causas
Mala higiene bucodental.
Cepillado agresivo o uso de cepillos duros.
Cambios hormonales (embarazo, adolescencia o menopausia).
Estrés o tabaquismo.
Déficit de vitaminas, especialmente la vitamina C.
Prótesis o empastes mal ajustados.
Infecciones bacterianas o víricas.
Ciertos medicamentos que reducen la producción de saliva.
Cuando esta inflamación se mantiene en el tiempo, las encías pueden retraerse, sangrar o incluso provocar movilidad dental.
| Causa | Síntomas característicos | Tratamiento profesional recomendado | Remedios o cuidados en casa |
|---|---|---|---|
| Acumulación de placa bacteriana (gingivitis) | Encías rojas, blandas, sangran al cepillar | Limpieza profesional, colutorio específico (Bexident Encías, Vitis Encías), revisión periodontal | Cepillado suave 2–3 veces al día, hilo dental, enjuague con agua tibia y sal |
| Sarro o cálculo dental | Inflamación persistente, halitosis, encías retraídas | Curetaje o raspado y alisado radicular | Cepillado con pasta antiplaca, revisiones cada 6 meses |
| Cambios hormonales (embarazo, regla, menopausia) | Encías más sensibles e inflamadas, sangrado leve | Limpieza suave, seguimiento periódico con el dentista | Higiene suave, cepillo blando, colutorios sin alcohol |
| Deficiencia de vitamina C o hierro | Sangrado fácil, palidez de encías, debilidad general | Evaluación nutricional, suplementos bajo control médico | Aumentar frutas cítricas, verduras verdes, legumbres |
| Estrés o bajada de defensas | Encías doloridas, aftas o llagas recurrentes | Control periodontal, tratamiento con gel regenerador | Dormir bien, reducir estrés, tomar omega-3 y magnesio |
| Cepillado agresivo o mal cepillado | Retracción de encías, sensibilidad dental | Reentrenamiento en técnica de cepillado, cambio de cepillo | Cepillo de cerdas suaves, movimientos circulares suaves |
| Uso de medicamentos (antihipertensivos, anticonceptivos) | Encías hinchadas o sangrantes sin placa visible | Control médico y ajuste de dosis si es posible | Limpieza cuidadosa, colutorios antiinflamatorios suaves |
| Tabaquismo | Encías pálidas o retraídas, mal aliento, cicatrización lenta | Limpieza profunda, control periodontal | Dejar de fumar, aumentar vitamina C y antioxidantes |
| Infección o absceso en la encía | Dolor intenso, fiebre, bulto con pus, inflamación localizada | Drenaje y antibiótico para infección de muelas y encías | Enjuagues con agua tibia y sal mientras esperas cita |
| Erupción de muelas del juicio | Dolor detrás de los últimos molares, inflamación localizada | Limpieza, control radiográfico, extracción si es necesario | Enjuagues de manzanilla o agua con sal, evitar presión en la zona |
| Prótesis o coronas mal ajustadas | Inflamación localizada y sangrado al masticar | Ajuste o sustitución de la prótesis o corona | Mantener la zona limpia, cepillo interproximal |
| Cáncer de encías (raro) | Llaga que no cicatriza, sangrado persistente, dolor localizado | Diagnóstico por biopsia y tratamiento oncológico | Revisiones periódicas y detección temprana |
Síntomas de encías inflamadas
Identificar los síntomas a tiempo es clave para evitar complicaciones mayores.
Los más comunes son:
- Encías rojas, sensibles o brillantes.
- Sangrado al cepillarse o al usar hilo dental.
- Mal aliento persistente.
- Dolor o molestia al masticar.
- Encías retraídas o con sensación de “dientes más largos”.
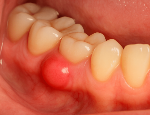
- Bulto o flemón en la encía.
Si además aparece fiebre y encías inflamadas, puede tratarse de una infección gingival aguda que requiere atención inmediata.
Enfermedades relacionadas con las encías inflamadas
El sangrado de encías, la retracción y el dolor suelen indicar alguna de las siguientes enfermedades:
1. Gingivitis
Es la fase inicial y reversible de la enfermedad periodontal.
Provoca encías inflamadas, sangrantes y sensibles, pero no afecta todavía al hueso.
Se trata fácilmente con limpieza profesional y colutorios específicos como Bexident Encías, Vitis Encías o Parodontax Encías.
2. Periodontitis
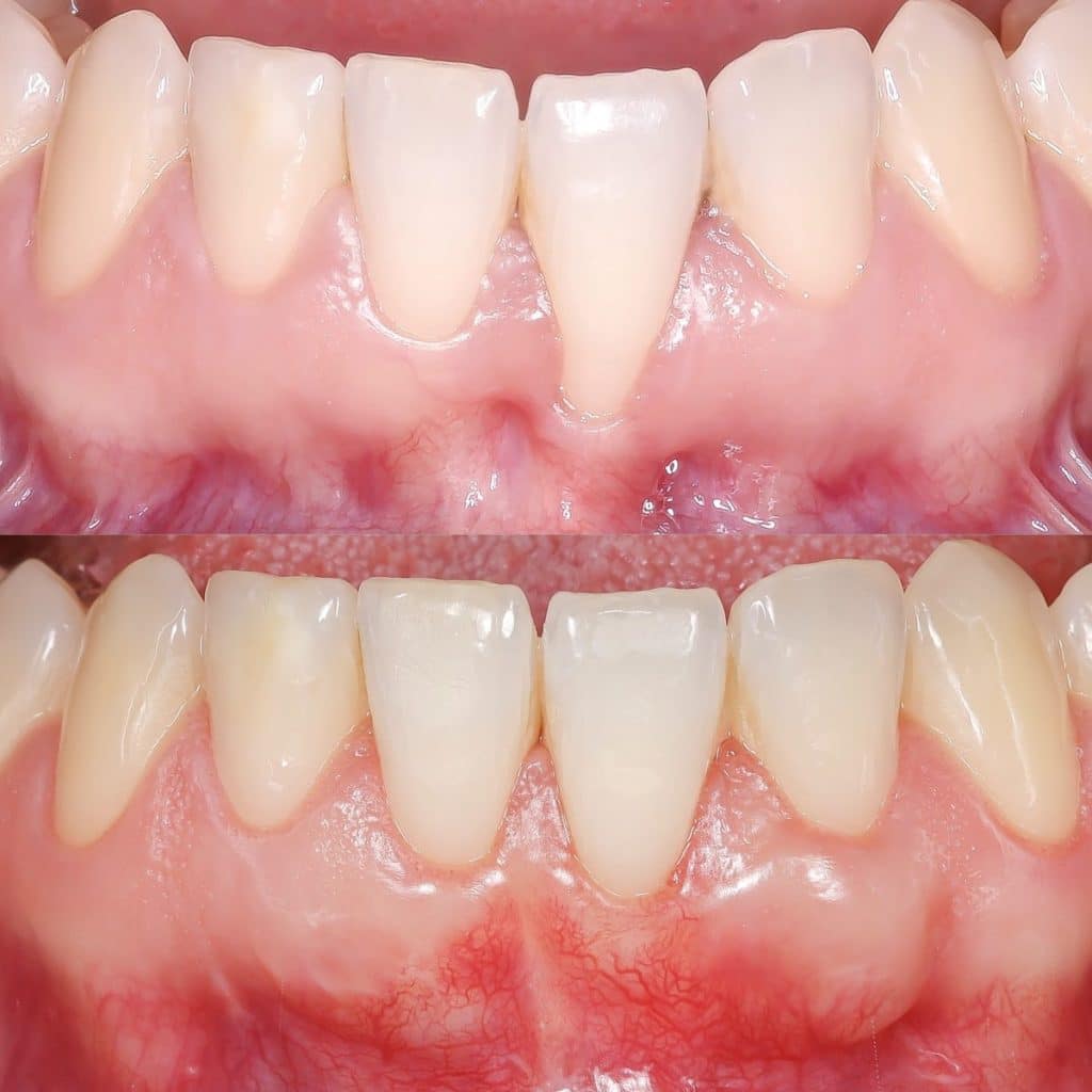
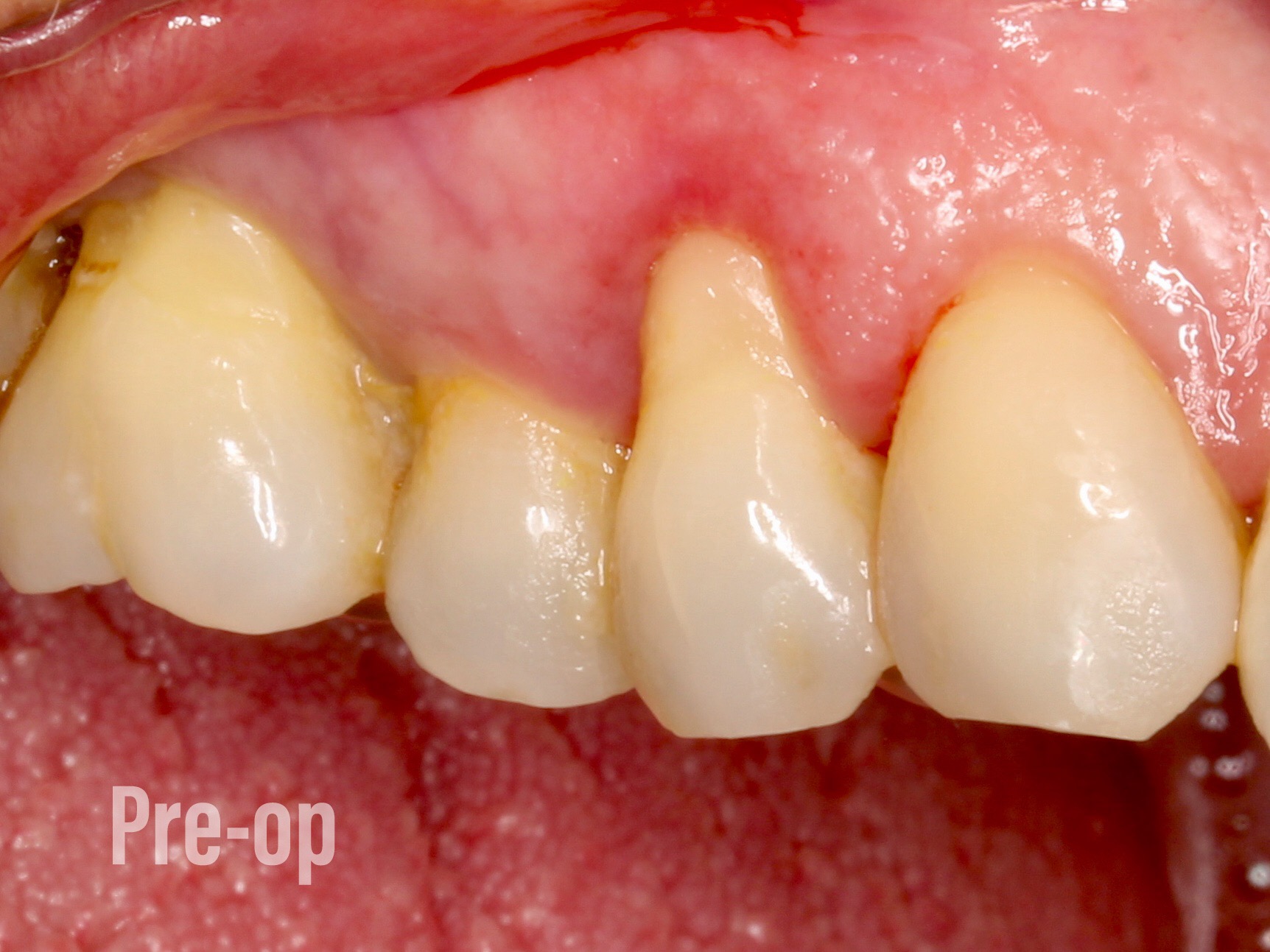
Cuando la gingivitis no se trata, las bacterias profundizan hasta el hueso, generando movilidad dental y recesión gingival.
El tratamiento incluye raspado y alisado radicular (curetaje) o incluso injerto de encía en casos avanzados.

3. Absceso o flemón
Un flemón en la encía o un bulto sin dolor puede ser signo de una infección que requiere antibióticos para infección de muelas y encías y drenaje profesional.

4. Cáncer de encías
Aunque menos común, el cáncer de encías puede iniciarse con inflamación persistente o llagas que no cicatrizan. En MAG Dental Madrid realizamos un diagnóstico preciso para descartar esta causa.
Cómo curar las encías inflamadas rápido
En muchos casos, el tratamiento depende de la causa subyacente.
En MAG Dental Madrid realizamos una valoración completa para determinar si la inflamación proviene de una infección, una mala higiene o un problema estructural.
Tratamientos profesionales
- Limpieza dental profesional.
Elimina el sarro acumulado debajo de la encía. - Curetaje o raspado de encías.
Limpieza profunda en casos de periodontitis. - Injerto de encía.
En casos de recesión gingival avanzada o encías retraídas. - Aplicación de gel regenerador.
Productos como el gel para regenerar las encías ayudan a la cicatrización. - Colutorios medicados.
Como Vitis Encías Colutorio o Bexident Encías Tratamiento Coadyuvante.
Remedios caseros para las encías inflamadas
Aunque los remedios caseros pueden aliviar los síntomas, no sustituyen el tratamiento profesional. Algunos consejos útiles son:
- Enjuagarse con agua tibia y sal dos veces al día.
- Usar un cepillo dental suave.
- Evitar tabaco, alcohol y comidas muy calientes.
- Aumentar el consumo de vitamina C y agua.
- Aplicar gel calmante o antiinflamatorio específico.
Si los síntomas persisten más de una semana, es fundamental acudir al dentista.
Prevención: cómo mantener las encías sanas
La mejor forma de evitar las encías inflamadas es mantener una higiene bucal constante y revisiones periódicas.
Sigue estas recomendaciones:
- Cepíllate al menos dos veces al día con una pasta específica para encías.
- Usa hilo dental o irrigador bucal.
- Acude a una limpieza profesional cada seis meses.
- Evita el estrés y el tabaco.
- Usa colutorios suaves de uso diario como Bexident Encías o Vitis Encías.
En MAG Dental Madrid, enseñamos a nuestros pacientes la técnica adecuada y personalizamos cada tratamiento según la causa del problema gingival.
Cuándo acudir al dentista
Debes visitar la clínica si presentas:
- Dolor persistente en las encías.
- Encías que sangran todos los días.
- Inflamación con pus o fiebre.
- Movilidad dental o retracción visible.
Cuanto antes se trate la causa, más rápida será la recuperación y menor el riesgo de pérdida ósea o dental.
Fuentes de autoridad
- Sociedad Española de Periodoncia (SEPA)
- Mayo Clinic: Gingivitis and Gum Disease
- National Institute of Dental and Craniofacial Research (NIH)
Preguntas frecuentes sobre encías inflamadas
¿Qué hacer para desinflamar las encías?
Mantén una buena higiene bucal, usa colutorios específicos y visita al dentista para una limpieza profesional.
¿Qué provoca la inflamación en las encías?
Principalmente la placa bacteriana y el sarro, aunque también influyen los cambios hormonales, el estrés o la mala alimentación.
¿Cómo saber si tengo una infección en la encía?
Si notas dolor, pus, mal sabor de boca o un bulto, probablemente tengas una infección. En estos casos, es esencial recibir tratamiento odontológico.
¿Cuánto tiempo duran las encías inflamadas?
Si se tratan correctamente, la inflamación puede desaparecer en menos de una semana. En casos avanzados, puede requerir varias sesiones.
¿Qué se puede tomar para la inflamación de encías?
Los antiinflamatorios pueden aliviar el dolor temporalmente, pero el tratamiento definitivo debe hacerlo un odontólogo especializado.
Conclusión
Las encías inflamadas no deben ignorarse. Son el primer signo de un problema gingival que, tratado a tiempo, tiene solución rápida y efectiva.
En MAG Dental Madrid, tratamos desde casos leves hasta periodontitis avanzadas con tecnología de última generación, garantizando resultados duraderos.
Pide tu valoración sin coste y recupera la salud de tus encías.
- Encía inflamada en el embarazo: causas, síntomas y cómo cuidarlas - 14 noviembre 2025
- Encías negras: causas, tratamiento y cómo aclararlas - 7 noviembre 2025
- Hueco entre implante y encía: causas y soluciones - 4 noviembre 2025
