Dientes caninos incluidos en el paladar
SITUACIÓN INICIAL Paciente, que a edad adulta, tiene persistencia de [...]
SITUACIÓN INICIAL Paciente, que a edad adulta, tiene persistencia de [...]
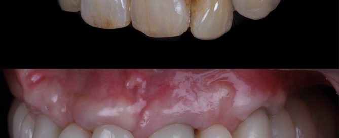
SITUACIÓN INICIAL Paciente que acude a nuestra clínica con signos [...]
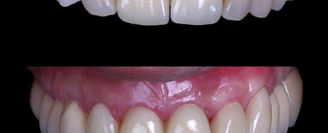
SITUACIÓN INICIAL Paciente que acude a nuestra clínica dental con [...]
SITUACIÓN INICIAL Paciente joven con dos carillas antiguas de composite, [...]
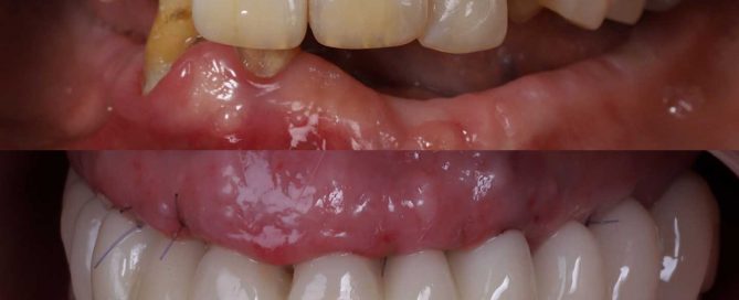
SITUACIÓN INICIAL Paciente que viene a Clínica MAG Dental por [...]
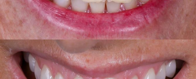
SITUACIÓN INICIAL Paciente que viene a la clínica porque no [...]