BLOG
Hueco entre implante y encía: causas y soluciones
Hueco entre implante y encía: causas y soluciones El hueco [...]
Mejores productos para cuidar tus encías
Los mejores productos para cuidar tus encías Cuidar las encías [...]
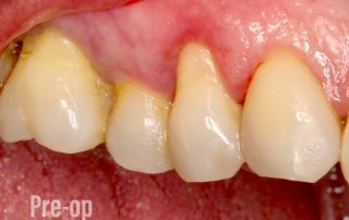
Injerto de encía: precio, recuperación y evolución paso a paso
Injerto de encía: precio, recuperación y evolución paso a paso [...]
Sensibilidad dental: causas, tratamiento y cómo eliminarla definitivamente
Sensibilidad dental: causas, tratamiento y cómo eliminarla definitivamente ¿Notas un [...]
Encías retraídas: causas, tratamientos y cómo regenerarlas
Encías retraídas: causas, tratamientos y cómo regenerarlas Las encías retraídas [...]
Encías inflamadas: causas, síntomas y cómo tratarlas
Encías inflamadas: causas, síntomas y cómo tratarlas Las encías inflamadas [...]
¿DÓNDE ENCONTRARNOS?
CONTACTA CON NOSOTROS
¡1ª Visita sin coste!
PIDE YA TU CITA ONLINE
¿Tienes alguna pregunta o necesitas más información? Nuestro equipo estará encantado de ayudarte y solucionar tus dudas. Ponte en contacto con nosotros a través de este formulario, nuestra dirección de e-mail o por teléfono ¡También atendemos WhatsApp!







